Anti-TLE1 (Synovial Sarcoma Marker) (TLE1/2946R), Biotin conjugate
CAT:
37-BNCB2946-100
Size:
100 µL
Price:
Ask
- Availability: 24/48H Stock Items & 2 to 6 Weeks non Stock Items.
- Dry Ice Shipment: No












Anti-TLE1 (Synovial Sarcoma Marker) (TLE1/2946R), Biotin conjugate
Description:
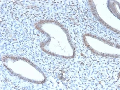
Key players in the Notch pathway are the TLE genes, which are human homologs of the Drosophila groucho gene. Groucho is a transcriptional repressor that plays a key role in neurogenesis, segmentation and sex determination. Transducin-like enhancer protein 1 (TLE1) is a protein that is encoded by the TLE1 gene and is involved in control of hematopoiesis, neuronal, and terminal epithelial differentiation. Positive immunohistochemical nuclear staining with anti-TLE-1 has been shown to be a useful addition to an IHC panel when differentiating synovial sarcoma from other soft tissue malignancies.Primary antibodies are available purified, or with a selection of fluorescent CF® Dyes and other labels. CF® Dyes offer exceptional brightness and photostability. Note: Conjugates of blue fluorescent dyes like CF®405S and CF®405M are not recommended for detecting low abundance targets, because blue dyes have lower fluorescence and can give higher non-specific background than other dye colors.Synonyms:
Enhancer of split groucho 1 (ESG1); Enhancer of split groucho-like protein 1; GRG1; TLE1; Transducin like enhancer of split 1; Transducin-like enhancer protein 1UNSPSC:
41116161UNSPSC Description:
Primary and secondary antibodies for multiple methodology immunostaining detection applicationGene Name:
TLE1Gene ID:
7088NCBI Gene ID:
197320; 689805UniProt:
Q04724Cellular Locus:
NucleusHost:
RabbitSpecies Reactivity:
HumanImmunogen:
Recombinant human TLE1 fragment (aa 175-338) (exact sequence is proprietary)Target Antigen:
TLE1Clonality:
Recombinant MonoclonalIsotype:
IgGClone:
TLE1/2946RConjugation:
BiotinSource:
AnimalApplications:
IHC, FFPE (verified)Validated Applications:
IHC, FFPEField of Research:
Cancer, Developmental biology, Transcription factorsPositive Control:
HeLa, HepG2 or Jurkat cells. Endometrium Carcinoma or SarcomasConcentration:
0.1 mg/mLBuffer:
PBS, 0.1% BSA, 0.05% azideMolecular Weight:
83 kDaAdditionnal Information:
Higher concentration may be required for direct detection using primary antibody conjugates than for indirect detection with secondary antibody|Immunohistology (formalin): 1-2 ug/mL for 30 minutes at RT|Staining of formalin-fixed tissues requires boiling tissue sections in 10 mM citrate buffer, pH 6.0, for 10-20 minutes followed by cooling at RT for 20 minutes|Optimal dilution for a specific application should be determined by userShipping Conditions:
Room temperatureStorage Conditions:
4°C; Stable at room temperature or 37°C (98°F) for 7 days.Shelf Life:
2 yearsCAS Number:
9007-83-4
DATASHEET Document
View DocumentMSDS Document
View Document