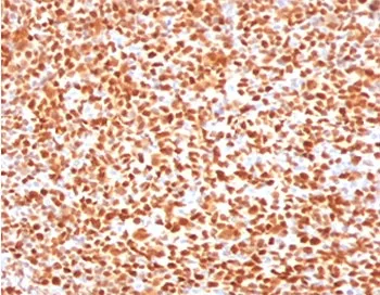
OCT-2 Antibody / POU2F2
CAT:
800-V3900-100UG
Size:
100 µg
Price:
Ask
- Availability: 24/48H Stock Items & 2 to 6 Weeks non Stock Items.
- Dry Ice Shipment: No








OCT-2 Antibody / POU2F2
Description:
Transcription factor that specifically binds to the octamer motif (5'-ATTTGCAT-3'). Regulates transcription in a number of tissues in addition to activating immunoglobulin gene expression. Modulates transcription transactivation by NR3C1, AR and PGR. Isoform 5 activates the U2 small nuclear RNA (snRNA) promoter. [UniProt]UniProt:
P09086Host:
MouseImmunogen:
A portion of amino acids 112-297 from the human protein was used as the immunogen for the OCT-2 antibody.Clonality:
MonoclonalIsotype:
IgG1 κApplications:
IHC-P, WBFormat:
PurifiedBuffer:
0.2 mg/ml in 1X PBS with 0.1 mg/ml BSA (US sourced) and 0.05% sodium azideReconstitution:
Store the OCT-2 antibody at 2-8oC (with azide) or aliquot and store at -20oC or colder (without azide).Limitations:
This OCT-2 antibody is available for research use only.CAS Number:
9007-83-4
DATASHEET Document
View Document