Multi Cytokeratin Recombinant Antibody
CAT:
800-V3718SAF-100UG
Size:
100 µg
Price:
Ask
- Availability: 24/48H Stock Items & 2 to 6 Weeks non Stock Items.
- Dry Ice Shipment: No








Multi Cytokeratin Recombinant Antibody
Description:
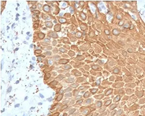
Twenty human keratins are resolved with two-dimensional gel electrophoresis into acidic (pI 6.0) subfamilies. This mAb recognizes acidic (Type I or LMW) and basic (Type II or HMW) cytokeratins, including 59kDa (CK4); 58kDa (CK5); 56kDa (CK6); 52kDa (CK8); 56.5kDa (CK10); 53kDa (CK13) and 45kDa (CK18). This is a broad-spectrum mAb which has been reported to differentiate epithelial tumors from non-epithelial tumors. Many studies have shown the usefulness of keratins as markers in cancer research and tumor diagnosis.Host:
RabbitImmunogen:
Human epithelial cell keratin was used as the immunogen for the recombinant Multi Cytokeratin antibody.Clonality:
MonoclonalIsotype:
IgG κType:
RecombinantApplications:
IF, IHC-PFormat:
PurifiedBuffer:
1 mg/ml in 1X PBS; BSA free, sodium azide freeReconstitution:
Store the recombinant Multi Cytokeratin antibody at 2-8oC (with azide) or aliquot and store at -20oC or colder (without azide).Limitations:
This recombinant Multi Cytokeratin antibody is available for research use only.CAS Number:
9000-83-3