Aurora B Recombinant Antibody / AURKB
CAT:
800-V7296SAF-100UG
Size:
100 µg
Price:
Ask
- Availability: 24/48H Stock Items & 2 to 6 Weeks non Stock Items.
- Dry Ice Shipment: No








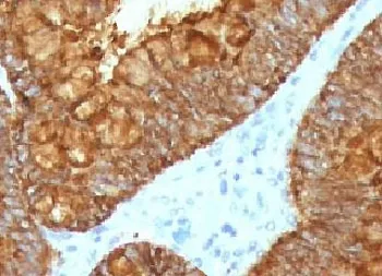
Aurora B Recombinant Antibody / AURKB
Description:
Recognizes a protein of 39kDa, which is identified as Aurora B. The serine/threonine protein kinase aurora B (Aurora B) is a chromosomal passenger protein critical for accurate chromosome segregation, cytokinesis, protein localization to the centromere and kinetochore, correct microtubule-kinetochore attachment, and regulation of the mitotic checkpoint. Aurora B forms a tight complex with inner centrosome protein and survivin. Inactivation of any of these proteins causes similar defects in chromosome segregation. A significant overexpression of Aurora B has been found in a variety of human tumors including non-small cell lung carcinoma, astrocytoma, seminoma and carcinomas of the colon, prostate, endometrium and thyroid. The expression level of Aurora B is associated with cell proliferation and prognosis in these tumors.UniProt:
Q96GD4Host:
RabbitImmunogen:
A portion of amino acids 89-251 was used as the immunogen for this recombinant AURKB antibody.Clonality:
MonoclonalIsotype:
IgG κType:
RecombinantApplications:
IHC-PFormat:
PurifiedBuffer:
1 mg/ml in 1X PBS; BSA free, sodium azide freeReconstitution:
Store the recombinant AURKB antibody at 2-8oC (with azide) or aliquot and store at -20oC or colder (without azide).Limitations:
This recombinant AURKB antibody is available for research use only.CAS Number:
9000-83-3