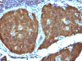
NSE Antibody / Neuron Specific Enolase
CAT:
800-V3498IHC-7ML
Size:
7 mL
Price:
Ask
- Availability: 24/48H Stock Items & 2 to 6 Weeks non Stock Items.
- Dry Ice Shipment: No








NSE Antibody / Neuron Specific Enolase
Description:
This mAb recognizes a protein of about 50 kDa which is identified as gamma-Enolase/Neuron Specific Enolase/Enolase 2. Three isoenzymes of enolases are identified, alpha, beta and gamma. Alpha-isoform is expressed in most tissues, whereas beta-form is expressed predominantly in muscle tissue and gamma-enolase is found only in nervous tissue. These isoforms exist as both homodimers and heterodimers, and they play a role in converting phosphoglyceric acid to phosphenolpyruvic acid in the glycolytic pathway. NSE is a useful marker to identify peripheral nerves and tumors of neuro-endocrine origins, such as pheochromocytomas. It it be usually employed in combination with other markers such as Synaptophysin, Chromogranin A, and Neurofilament.UniProt:
P09104Host:
MouseImmunogen:
Amino acids 416-433 of human NSE were used as the immunogen for this Neuron Specific Enolase antibody.Clonality:
MonoclonalIsotype:
IgG2b κApplications:
IHC-PFormat:
PurifiedBuffer:
Prediluted in 1X PBS with 0.1 mg/ml BSA (US sourced) and 0.05% sodium azide; *For IHC use only*Reconstitution:
Store the Neuron Specific Enolase antibody at 2-8oC (with azide) or aliquot and store at -20oC or colder (without azide).Limitations:
This Neuron Specific Enolase antibody is available for research use only.CAS Number:
9007-83-4