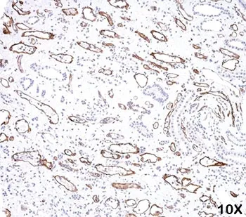
C4d / Complement 4d Antibody
CAT:
800-V2021SAF-100UG
Size:
100 µg
Price:
Ask
- Availability: 24/48H Stock Items & 2 to 6 Weeks non Stock Items.
- Dry Ice Shipment: No








C4d / Complement 4d Antibody
Description:
This antibody is specific to Complement 4d (C4d) and it reacts with the secreted as well as cell-bound protein. C4d is a degradation product of the activated complement factor C4b. Complement 4b is typically activated by binding of antibodies to specific target molecules. Following activation and degradation of the C4 molecule, thio-ester groups are exposed, which allow transient, covalent binding of the degradation product C4d to endothelial cell surfaces and extracellular matrix components of vascular basement membranes near the sites of C4 activation. The presence of C4d in peritubular capillaries is a key indicator for acute humoral (i.e. antibody-mediated) rejection of kidney, heart, pancreas and lung allografts. As an established marker of antibody-mediated acute renal allograft rejection and its proclivity for endothelium, this component can be detected in peritubular capillaries in chronic renal allograft rejection as well as hyperacute rejection, acute vascular rejection, acute cellular rejection, and borderline rejection. C4d has been shown to be a significant predictor of transplant kidney graft survival. C4d antibody, combined with antibody to C3d, can be utilized as a tool for diagnosis of allograft rejection that may warrant a prompt and aggressive anti-rejection treatment.Host:
MouseImmunogen:
Recombinant human C4d protein was used as the immunogen for this C4d antibody.Clonality:
MonoclonalIsotype:
IgG1 κApplications:
ELISA, IHC-PFormat:
PurifiedBuffer:
1 mg/ml in 1X PBS; BSA free, sodium azide freeReconstitution:
Store the C4d antibody at 2-8oC.Limitations:
This C4d antibody is available for research use only.CAS Number:
9007-83-4