Cyclin B2 Recombinant Antibody / CCNB2
CAT:
800-RQ4801
Size:
100 µL
Price:
Ask
- Availability: 24/48H Stock Items & 2 to 6 Weeks non Stock Items.
- Dry Ice Shipment: No








Cyclin B2 Recombinant Antibody / CCNB2
Description:
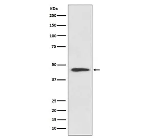
Cyclin B2 is a member of the cyclin family, specifically the B-type cyclins. The B-type cyclins, B1 and B2, associate with p34cdc2 and are essential components of the cell cycle regulatory machinery. B1 and B2 differ in their subcellular localization. Cyclin B1 co-localizes with microtubules, whereas cyclin B2 is primarily associated with the Golgi region. Cyclin B2 also binds to transforming growth factor beta RII and thus cyclin B2/cdc2 may play a key role in transforming growth factor beta-mediated cell cycle control. [RefSeq]UniProt:
O95067Host:
RabbitImmunogen:
A synthetic peptide specific to human Cyclin B2 / CCNB2 was used as the immunogen for the Cyclin B2 antibody.Clonality:
MonoclonalIsotype:
IgGType:
RecombinantApplications:
WBFormat:
PurifiedBuffer:
Antibody in PBS with 0.02% sodium azide, 50% glycerol and 0.4-0.5mg/ml BSAReconstitution:
Store the Cyclin B2 antibody at -20oC.Limitations:
This Cyclin B2 antibody is available for research use only.CAS Number:
9000-83-3
DATASHEET Document
View Document