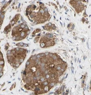
CCNB1 antibody
CAT:
710-FNab02122
Size:
100 µg
Price:
Ask
- Availability: 24/48H Stock Items & 2 to 6 Weeks non Stock Items.
- Dry Ice Shipment: No








CCNB1 antibody
Background:
Cyclin B1 is a regulatory protein involved in mitosis. The gene product complexes with p34(cdc2) to form the maturation-promoting factor(MPF). Two alternative transcripts have been found, a constitutively expressed transcript and a cell cycle-regulated transcript, that is expressed predominantly during G2/M phase of the cell cycle. The different transcripts result from the use of alternate transcription initiation sites. The antibody is specific to CCNB1.Synonyms:
G2/mitotic-specific cyclin-B1|CCNB1|CCNBGene ID:
891UniProt:
P14635Host:
RabbitReactivity:
Human, Mouse, RatImmunogen:
cyclin B1Target:
CCNB1Clonality:
PolyclonalIsotype:
IgGApplications:
ELISA, WB, IF, IHC, IPField of Research:
Cancer, Cell Division and ProliferationPurification:
Immunogen affinity purifiedDilution:
WB: 1:500-1:5000; IP: 1:200-1:2000; IHC: 1:20-1:200; IF: 1:20-1:200Purity:
≥95% as determined by SDS-PAGEForm:
LiquidMolecular Weight:
55 kDaStorage Conditions:
PBS with 0.02% sodium azide and 50% glycerol pH 7.3, -20°C for 12 months(Avoid repeated freeze / thaw cycles.)CAS Number:
9007-83-4