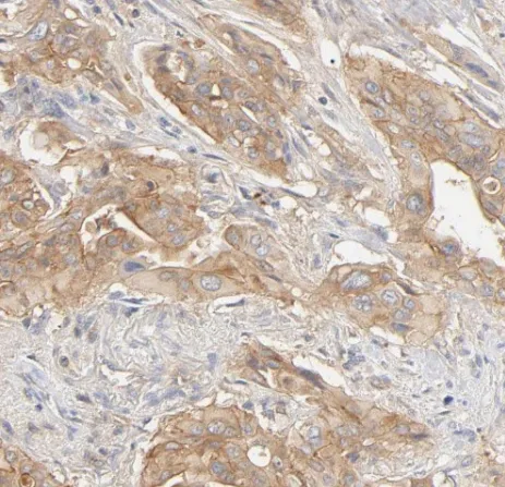
ADAM17-Specific antibody
CAT:
710-FNab00139
Size:
100 µg
Price:
Ask
- Availability: 24/48H Stock Items & 2 to 6 Weeks non Stock Items.
- Dry Ice Shipment: No








ADAM17-Specific antibody
Background:
The ADAMs(A Disintegrin And Metalloprotease) are multidomain transmembrane proteins. One of the first ADAMs implicated in membrane shedding is ADAM-17, which is shown to release the active form of tumor necrosis factor(TNF)-a from its precursor(PMID:18238782). ADAM17 is also named as CSVP, TACE. The full length protein has 9 glycosylation sites, a signal peptide, propeptide and 2 isoforms produced by alternative splicing.The 120-kDa form of ADAM-17 is expressed more frequently and at higher levels in primary breast carcinomas compared with normal breast tissue(PMID:17438092). This antibody is specific to ADAM17.Synonyms:
Disintegrin and metalloproteinase domain-containing protein 17 (ADAM 17)|Snake venom-like protease|TNF-alpha convertase|TNF-alpha-converting enzyme|ADAM17|CSVP|TACEGene ID:
6868UniProt:
P78536Host:
RabbitReactivity:
HumanImmunogen:
ADAM metallopeptidase domain 17Target:
ADAM17Clonality:
PolyclonalIsotype:
IgGApplications:
ELISA, WBField of Research:
Signal Transduction, Metabolism, Cardiovascular, Immunology, Developmental biology, NeurosciencePurification:
Immunogen affinity purifiedDilution:
WB: 1:200-1:2000; IHC: 1:20-1:200Purity:
≥95% as determined by SDS-PAGEForm:
LiquidMolecular Weight:
29 kDaStorage Conditions:
PBS with 0.02% sodium azide and 50% glycerol pH 7.3, -20°C for 12 months(Avoid repeated freeze / thaw cycles.)CAS Number:
9007-83-4