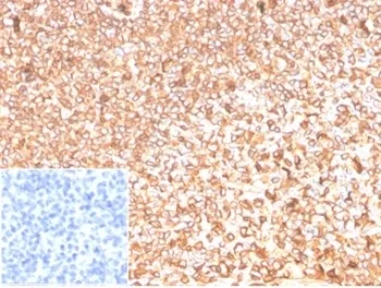
Actin Beta Antibody / ACTB
CAT:
800-V9727-100UG
Size:
100 µg
Price:
Ask
- Availability: 24/48H Stock Items & 2 to 6 Weeks non Stock Items.
- Dry Ice Shipment: No








Actin Beta Antibody / ACTB
Description:
All eukaryotic cells express Actin, which often constitutes as much as 50% of total cellular protein. Actin filaments can form both stable and labile structures and are crucial components of microvilli and the contractile apparatus of muscle cells. While lower eukaryotes, such as yeast, have only one Actin gene, higher eukaryotes have several isoforms encoded by a family of genes. At least six types of Actin are present in mammalian tissues and fall into three classes. a-Actin expression is limited to various types of muscle, whereas -Actin and g-Actin are the principle constituents of filaments in other tissues. Members of the small GTPase family regulate the organization of the Actin cytoskeleton. Rho controls the assembly of Actin stress fibers and focal adhesion. Rac regulates Actin filament accumulation at the plasma membrane. Cdc42 stimulates formation of filopodia.UniProt:
P60709Host:
MouseImmunogen:
Recombinant human protein was used as the immunogen for the Actin Beta antibody.Clonality:
MonoclonalIsotype:
IgG1 κApplications:
FACS, IF, WB, IHC-PFormat:
PurifiedBuffer:
0.2 mg/ml in 1X PBS with 0.1 mg/ml BSA (US sourced), 0.05% sodium azideReconstitution:
Aliquot the Actin Beta antibody and store frozen at -20oC or colder. Avoid repeated freeze-thaw cycles.Limitations:
This Actin Beta antibody is available for research use only.CAS Number:
9007-83-4