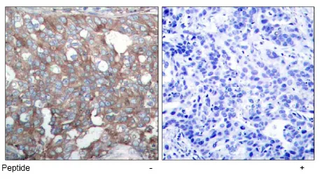
Cortactin Rabbit Polyclonal Antibody
- Availability: 24/48H Stock Items & 2 to 6 Weeks non Stock Items.
- Dry Ice Shipment: No








Cortactin Rabbit Polyclonal Antibody
Description:
Cortactin rabbit polyclonal antibody, Aff - PurifiedUniProt:
Q60598Gene Location:
13043Host:
RabbitReactivity:
MouseClonality:
PolyclonalApplications:
IHCStability:
Shelf life: one year from despatch.Symbol:
CttnCAS Number:
9007-83-4
