Anti-CD103 / Integrin alpha E (T-Cell Lymphoma & Hairy Cell Leukemia Marker) (ITGAE/2474), CF640R conjugate
CAT:
37-BNC402474-100
Size:
100 µL
Price:
Ask
- Availability: 24/48H Stock Items & 2 to 6 Weeks non Stock Items.
- Dry Ice Shipment: No
























Anti-CD103 / Integrin alpha E (T-Cell Lymphoma & Hairy Cell Leukemia Marker) (ITGAE/2474), CF640R conjugate
Description:
CD103 is alpha E integrin, belonging to a small beta-7 integrin subfamily. It is primarily expressed in intraepithelial lymphocytes. Together with beta 7 integrin, it is the cell surface receptor for E-cadherin, where it mediates cell adhesion. CD103 is expressed on more than 95% of intraepithelial CD8 cells and on 40% of mucosa-associated T cells, whereas less than 2% of resting blood lymphocytes are CD103-positive. In several malignant conditions, such as T-cell lymphomas and hairy cell leukemia (HCL), the cells express CD103. Primary antibodies are available purified, or with a selection of fluorescent CF® Dyes and other labels. CF® Dyes offer exceptional brightness and photostability. Note: Conjugates of blue fluorescent dyes like CF®405S and CF®405M are not recommended for detecting low abundance targets, because blue dyes have lower fluorescence and can give higher non-specific background than other dye colors.Synonyms:
CD103; Integrin alpha E; Integrin subunit alpha EUNSPSC:
41116161UNSPSC Description:
Primary and secondary antibodies for multiple methodology immunostaining detection applicationGene Name:
ITGAEGene ID:
3682NCBI Gene ID:
513867UniProt:
P38570Cellular Locus:
Plasma membraneHost:
MouseSpecies Reactivity:
HumanImmunogen:
Recombinant human ITGAE protein fragment (exact sequence is proprietary)Target Antigen:
CD103 | Integrin alpha EClonality:
MonoclonalIsotype:
IgG2b κClone:
ITGAE/2474Conjugation:
CF640RDisease:
TumorSource:
AnimalApplications:
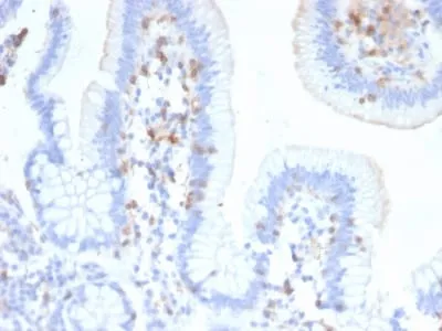
IHC, FFPE (verified)Validated Applications:
IHC, FFPEField of Research:
Cancer, ImmunologyPositive Control:
Tonsil, Colon or StomachConcentration:
0.1 mg/mLBuffer:
PBS, 0.1% BSA, 0.05% azideMolecular Weight:
150 kDaAdditionnal Information:
Higher concentration may be required for direct detection using primary antibody conjugates than for indirect detection with secondary antibody|Immunohistology (formalin): 1-2 ug/mL for 30 minutes at RT|Staining of formalin-fixed tissues requires boiling tissue sections in 10 mM citrate buffer, pH 6.0, for 10-20 minutes followed by cooling at RT for 20 minutes|Optimal dilution for a specific application should be determined by userShipping Conditions:
Room temperatureStorage Conditions:
4°C; Protect from light; Stable at room temperature or 37°C (98°F) for 7 days.Shelf Life:
2 yearsCAS Number:
9007-83-4
DATASHEET Document
View DocumentMSDS Document
View Document