Anti-PAX5 / BSAP (Early B-Cell Marker) (PAX5/2595)
CAT:
37-BNUB2595-100
Size:
100 µL
Price:
Ask
- Availability: 24/48H Stock Items & 2 to 6 Weeks non Stock Items.
- Dry Ice Shipment: No












Anti-PAX5 / BSAP (Early B-Cell Marker) (PAX5/2595)
Description:
The specificity of this monoclonal antibody to its intended target was validated by HuProt™ Array, containing more than 19,000, full-length human proteins. The PAX5 gene is a member of the paired box (PAX) family of transcription factors. The central feature of this gene family is a novel, highly conserved DNA-binding domain, known as the paired box. The PAX proteins are important regulators in early development, and alterations in the expression of their genes are thought to contribute to neoplastic transformation. The PAX5 gene encodes the B-cell lineage specific activator protein (BSAP) that is expressed at early, but not late stages of B-cell differentiation. Its expression has also been detected in developing CNS and testis; therefore, PAX5 gene product may not only play an important role in B-cell differentiation, but also in neural development and spermatogenesis.Primary antibodies are available purified, or with a selection of fluorescent CF® Dyes and other labels. CF® Dyes offer exceptional brightness and photostability. Note: Conjugates of blue fluorescent dyes like CF®405S and CF®405M are not recommended for detecting low abundance targets, because blue dyes have lower fluorescence and can give higher non-specific background than other dye colors.Synonyms:
B cell lineage specific activator; BSAP; EBB-1; KLP; Paired box 5UNSPSC:
41116161UNSPSC Description:
Primary and secondary antibodies for multiple methodology immunostaining detection applicationGene Name:
PAX5Gene ID:
5079NCBI Gene ID:
654464UniProt:
Q02548Cellular Locus:
NucleusHost:
MouseSpecies Reactivity:
HumanImmunogen:
Recombinant full-length human PAX5 proteinTarget Antigen:
BSAP | PAX5Clonality:
MonoclonalIsotype:
IgG1Clone:
PAX5/2595Conjugation:
Purified, with BSASource:
AnimalField of Research:
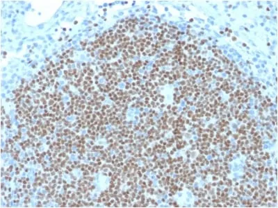
Developmental biology, Immunology, Transcription factorsPositive Control:
DAUDI or Ramos Cells. Tonsil, spleen, Lymph Node or Colon Carcinoma.Concentration:
0.2 mg/mLBuffer:
PBS, 0.05% BSA, 0.05% azideMolecular Weight:
42 kDaAdditionnal Information:
For coating for ELISA, order Ab without BSA|Higher concentration may be required for direct detection using primary antibody conjugates than for indirect detection with secondary antibody|Optimal dilution and staining procedure for a specific application should be determined by user|Recommended starting concentrations for titration are 1-2 ug/mL for most applications, or 1 ug/million cells/100 uL for flow cytometryShipping Conditions:
Room temperatureStorage Conditions:
4°C; Stable at room temperature or 37°C (98°F) for 7 days.Shelf Life:
2 yearsCAS Number:
9007-83-4
DATASHEET Document
View DocumentMSDS Document
View Document