Anti-MBD1 (Methyl-CpG Binding Domain Protein 1)(CPTC-MBD1-1)
For Laboratory Research Only. Not for Clinical or Personal Use.
- Availability: 24/48H Stock Items & 2 to 6 Weeks non Stock Items.
- Dry Ice Shipment: No








Anti-MBD1 (Methyl-CpG Binding Domain Protein 1)(CPTC-MBD1-1)
Description:
DNA methylation is the major modification of eukaryotic genomes and plays an essential role in mammalian development. Human proteins MECP2, MBD1, MBD2, MBD3, and MBD4 comprise a family of nuclear proteins related by the presence in each of a methyl-CpG binding domain (MBD). Each of these proteins, with the exception of MBD3, is capable of binding specifically to methylated DNA. MECP2, MBD1 and MBD2 can also repress transcription from methylated gene promoters. MBD1 has also been predicted to be involved in the development and progression of tumors, and it has been shown that MBD1 is significantly upregulated in pancreatic cancer tissues when compared with surrounding normal tissues. Furthermore, MBD1 may serve as a potential therapeutic target for pancreatic cancer. Primary antibodies are available purified, or with a selection of fluorescent CF® Dyes and other labels. CF® Dyes offer exceptional brightness and photostability. Note: Conjugates of blue fluorescent dyes like CF®405S and CF®405M are not recommended for detecting low abundance targets, because blue dyes have lower fluorescence and can give higher non-specific background than other dye colors.Synonyms:
CXXC-type zinc finger protein 3; CXXC3; MBD1; MECP1 COMPLEX; Methyl-CpG-binding domain protein 1 (MBD1); Protein containing methyl-CpG-binding domain 1 (PCM1); Regulator of fibroblast growth factor 2 (FGF 2) transcription (RFT)UNSPSC:
41116161UNSPSC Description:
Primary and secondary antibodies for multiple methodology immunostaining detection applicationGene Name:
MBD1Gene ID:
4152NCBI Gene ID:
405610UniProt:
Q9UIS9Cellular Locus:
NucleusHost:
MouseSpecies Reactivity:
HumanImmunogen:
Recombinant human MBD1 proteinTarget Antigen:
MBD1Clonality:
MonoclonalIsotype:
IgG1 κClone:
CPTC-MBD1-1Conjugation:
Purified, BSA-freeDisease:
TumorSource:
AnimalApplications:
IHC, FFPE (verified)Validated Applications:
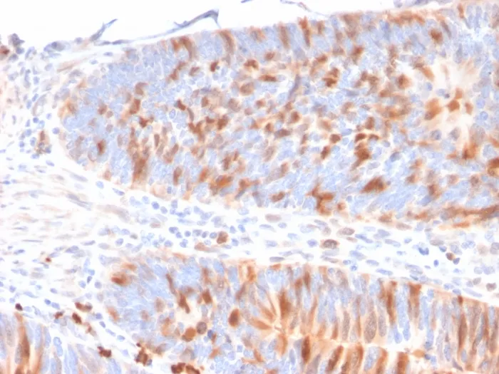
IHC, FFPEPositive Control:
Human tonsil or colon (IHC).Concentration:
1 mg/mLBuffer:
PBS, no BSA, no azideMolecular Weight:
~80 kDaShipping Conditions:
Room temperatureStorage Conditions:
-35°C to -5°C ; Stable at room temperature or 37°C (98°F) for 7 days.Shelf Life:
2 yearsCAS Number:
9007-83-4
DATASHEET Document
View DocumentMSDS Document
View Document