Anti-Aldo-keto Reductase Family 1 Member C2 / DD2(CPTC-AKR1C2-1), Biotin conjugate
CAT:
37-BNCB2255-100
Size:
100 µL
Price:
Ask
- Availability: 24/48H Stock Items & 2 to 6 Weeks non Stock Items.
- Dry Ice Shipment: No








Anti-Aldo-keto Reductase Family 1 Member C2 / DD2(CPTC-AKR1C2-1), Biotin conjugate
Description:
Aldo-keto Reductase Family 1 Member C2 (AKR1C2), also known as Dihydrodiol Dehydrogenase 2 (DDH2), is a member of the aldo/keto reductase superfamily, which consists of more than 40 known enzymes and proteins. These enzymes catalyze the conversion of aldehydes and ketones to their corresponding alcohols by utilizing NADH and/or NADPH as cofactors. The enzymes display overlapping but distinct substrate specificity. This enzyme catalyzes the reaction of progesterone to the inactive form 20-alpha-hydroxy-progesterone. Primary antibodies are available purified, or with a selection of fluorescent CF® Dyes and other labels. CF® Dyes offer exceptional brightness and photostability. Note: Conjugates of blue fluorescent dyes like CF®405S and CF®405M are not recommended for detecting low abundance targets, because blue dyes have lower fluorescence and can give higher non-specific background than other dye colors.Synonyms:
Aldo-keto Reductase Family 1 Member C2; AKR1C2; 3-alpha-HSD3; AKR1C-pseudo protein; BABP; Dihydrodiol dehydrogenase 2; DD-2; MCDR2; HAKRD; DD; DDH2; HBAB; Pseudo-chlordecone reductase; SRXY8UNSPSC:
41116161UNSPSC Description:
Primary and secondary antibodies for multiple methodology immunostaining detection applicationGene Name:
AKR1C2Gene ID:
1646NCBI Gene ID:
567256UniProt:
P52895Cellular Locus:
CytoplasmicHost:
MouseSpecies Reactivity:
HumanImmunogen:
Recombinant human full-length AKR1C2 proteinTarget Antigen:
Aldo-keto Reductase Family 1 Member C2Clonality:
MonoclonalIsotype:
IgG2a κClone:
CPTC-AKR1C2-1Conjugation:
BiotinSource:
AnimalApplications:
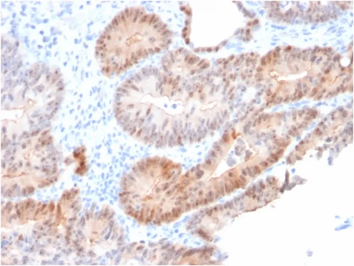
IHC, FFPE (verified) | WB (verified)Validated Applications:
IHC, FFPE, WBPositive Control:
HeLa, K-562, A431, HepG2, A549 cells. Human liver or stomach tissue.Concentration:
0.1 mg/mLBuffer:
PBS, 0.1% BSA, 0.05% azideMolecular Weight:
37 kDaShipping Conditions:
Room temperatureStorage Conditions:
4°C; Stable at room temperature or 37°C (98°F) for 7 days.Shelf Life:
2 yearsCAS Number:
9007-83-4
DATASHEET Document
View DocumentMSDS Document
View Document