Alpha Fetoprotein / AFP Antibody
CAT:
800-V9012SAF-100UG
Size:
100 µg
Price:
Ask
- Availability: 24/48H Stock Items & 2 to 6 Weeks non Stock Items.
- Dry Ice Shipment: No








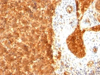
Alpha Fetoprotein / AFP Antibody
Description:
It recognizes an oncofetal glycoprotein with a single chain of 70kDa, which is identified as alpha fetoprotein (AFP). This mAb is highly specific to AFP and shows no cross-reaction with other oncofetal antigens or serum albumin. AFP is normally synthesized in the liver, intestinal tract, and yolk sac of the fetus. Antibody to AFP has been shown to be useful in detecting hepatocellular carcinomas (HCC) and germ cell neoplasms, especially yolk sac tumors.UniProt:
P02771Host:
MouseImmunogen:
Alpha fetoprotein purified from serum of a hepatoma patient was used as the immunogen for this AFP antibody.Clonality:
MonoclonalIsotype:
IgG2a κApplications:
IHC-PFormat:
PurifiedBuffer:
1 mg/ml in 1X PBS; BSA free, sodium azide freeReconstitution:
Store the Alpha Fetoprotein antibody at 2-8oC (with azide) or aliquot and store at -20oC or colder (without azide).Limitations:
This Alpha Fetoprotein antibody is available for research use only.CAS Number:
9007-83-4