TG Antibody / Thyroglobulin
- Availability: 24/48H Stock Items & 2 to 6 Weeks non Stock Items.
- Dry Ice Shipment: No








TG Antibody / Thyroglobulin
Description:
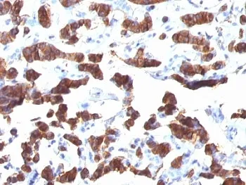
Thyroglobulin is a 660 kDa dimeric pre-protein with mutiple glycosylation sites. It is produced by and processed within the thyroid gland to produce the hormone thyroxine and triiodothyronine. Prior to forming dimers, thyroglobulin monomers undergo conformational maturation in the endoplasmic reticulation. The vast majority of follicular carcinomas of the thyroid will give positive immunoreactivity for anti-thyroglobulin even though sometimes only focally. Poorly differentiated carcinomas of the thyroid are frequently anti-thyroglobulin negative. Adenocarcinomas of other-than-thyroid origin do not react with this antibody. This antibody is useful in identification of thyroid carcinoma of the papillary and follicular types. Presence of thyroglobulin in metastatic lesions establishes the thyroid origin of tumor. Anti-thyroglobulin, combined with anti-calcitonin, can identify medullary carcinomas of the thyroid. Furthermore, anti-thyroglobulin, combined with anti-TTF1, can be a reliable marker to differentiate between primary thyroid and lung neoplasms.UniProt:
P01266Host:
MouseImmunogen:
Human thyroid follicular cells were used as the immunogen for the TG antibody.Clonality:
MonoclonalIsotype:
IgG1 κApplications:
IHC-PFormat:
PurifiedBuffer:
Prediluted in 1X PBS with 0.1 mg/ml BSA (US sourced) and 0.05% sodium azide; *For IHC use only*Reconstitution:
Store the TG antibody at 2-8oC (with azide) or aliquot and store at -20oC or colder (without azide).Limitations:
This TG antibody is available for research use only.CAS Number:
9007-83-4
