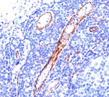
CD31 Antibody / PECAM-1
CAT:
800-V2220-100UG
Size:
100 µg
Price:
Ask
- Availability: 24/48H Stock Items & 2 to 6 Weeks non Stock Items.
- Dry Ice Shipment: No








CD31 Antibody / PECAM-1
Description:
CD31, also called PECAM-1, is a transmembrane glycoprotein member of the immunoglobulin supergene family of adhesion molecules. It is expressed by stem cells of the hematopoietic system and CD31 antibody can be used to identify and concentrate these cells for experimental studies as well as for bone marrow transplantation. CD31 antibody has shown to be highly specific and sensitive for vascular endothelial cells. Staining of nonvascular tumors (excluding hematopoietic neoplasms) is rare. This antibody reacts with normal, benign, and malignant endothelial cells which make up blood vessel lining. The level of CD31 expression can help to determine the degree of tumor angiogenesis, and a high expression level may imply a rapidly growing tumor and potentially a predictor of tumor recurrence.Host:
MouseImmunogen:
Recombinant human proteinClonality:
MonoclonalIsotype:
IgG1 κApplications:
FACS, WB, IF, IHC-PFormat:
PurifiedBuffer:
0.2 mg/ml in 1X PBS with 0.1 mg/ml BSA (US sourced) and 0.05% sodium azideReconstitution:
Store the CD31 antibody at 2-8oC (with azide) or aliquot and store at -20oC or colder (without azide).Limitations:
This CD31 antibody is available for research use only.CAS Number:
9007-83-4