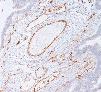
CD31 Antibody / PECAM-1
CAT:
800-V2219IHC-7ML
Size:
7 mL
Price:
Ask
- Availability: 24/48H Stock Items & 2 to 6 Weeks non Stock Items.
- Dry Ice Shipment: No








CD31 Antibody / PECAM-1
Description:
PECAM-1, or platelet endothelial cell adhesion molecule-1, also called CD31, is made up of six extracellular immunoglobulin-like domains, a single transmembrane domain, and a cytoplasmic domain containing serine and tyrosine residues that when phosphorylated, activate the molecules signaling function. It is expressed on platelets, monocytes, neutrophils, bone marrow macrophage and dendritic cells precursors, and at the intracellular junction of endothelial cells. PECAM-1, on the endothelial lining of blood vessels, helps maintain the vascular barrier. In response to inflammatory mediators, the endothelial pull away from each other allowing fluid, inflammatory cells and proteins into the extravascular space. The inflammatory response fades as adhesion of neighboring cells increase. PECAM-1 also plays an important role in angiogenesis, promoting endothelial cell motility, junctional development and capillary morphogenesis.Host:
MouseImmunogen:
Human recombinant PECAM-1 / CD31 protein was used as the immunogen for this antibody.Clonality:
MonoclonalIsotype:
IgG1 κApplications:
IHC-PFormat:
PurifiedBuffer:
Prediluted in 1X PBS with 0.1 mg/ml BSA (US sourced) and 0.05% sodium azide; *For IHC use only*Reconstitution:
Store the PECAM-1 antibody at 2-8oC.Limitations:
This PECAM-1 antibody is available for research use only.CAS Number:
9007-83-4