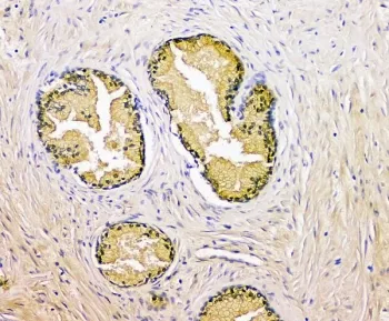
PSA Antibody / Prostate Specific Antigen / KLK3
CAT:
800-RQ6322
Size:
100 µg
Price:
Ask
- Availability: 24/48H Stock Items & 2 to 6 Weeks non Stock Items.
- Dry Ice Shipment: No








PSA Antibody / Prostate Specific Antigen / KLK3
Description:
Prostate-specific antigen (PSA), also known as gamma-seminoprotein or kallikrein-3 (KLK3), is a glycoprotein enzyme encoded in humans by the KLK3 gene. KLK3 is a member of the kallikrein-related peptidase family and is secreted by the epithelial cells of the prostate gland. This gene is mapped to 19q13.33. KLK3 is present in small quantities in the serum of men with healthy prostates, but is often elevated in the presence of prostate cancer or other prostate disorders. KLK3 is produced for the ejaculate where it liquifies the semen in the seminal coagulum and allows sperm to swim freely. It is also believed to be instrumental in dissolving the cervical mucous cap, allowing the entry of sperm. It is not a unique indicator of prostate cancer, but may also detect prostatitis or benign prostatic hyperplasia.UniProt:
P07288Host:
RabbitImmunogen:
Recombinant human protein (amino acids A64-D255) was used as the immunogen for the PSA antibody.Clonality:
PolyclonalIsotype:
IgGApplications:
WB, IHC-P, Direct ELISAFormat:
PurifiedBuffer:
0.5mg/ml if reconstituted with 0.2ml sterile DI waterReconstitution:
After reconstitution, the PSA antibody can be stored for up to one month at 4oC. For long-term, aliquot and store at -20oC. Avoid repeated freezing and thawing.Limitations:
This PSA antibody is available for research use only.CAS Number:
9007-83-4