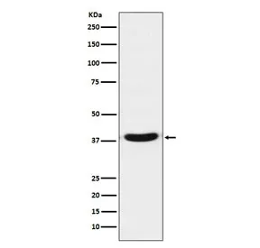
VPS26A Recombinant Antibody
CAT:
800-RQ4779
Size:
100 µL
Price:
Ask
- Availability: 24/48H Stock Items & 2 to 6 Weeks non Stock Items.
- Dry Ice Shipment: No








VPS26A Recombinant Antibody
Description:
'Vacuolar protein sorting-associated protein 26A' is an essential component of the retromer complex, a complex required to retrieve lysosomal enzyme receptors (IGF2R and M6PR) from endosomes to the trans-Golgi network. Also required to regulate transcytosis of the polymeric immunoglobulin receptor (pIgR-pIgA) .UniProt:
O75436Host:
RabbitImmunogen:
A synthetic peptide specific to human VPS26 was used as the immunogen for the VPS26 antibody.Clonality:
MonoclonalIsotype:
IgGType:
RecombinantApplications:
WBFormat:
PurifiedBuffer:
Antibody in PBS with 0.02% sodium azide, 50% glycerol and 0.4-0.5mg/ml BSAReconstitution:
Store the VPS26 antibody at -20oC.Limitations:
This VPS26 antibody is available for research use only.CAS Number:
9000-83-3
DATASHEET Document
View Document