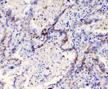
Integrin alpha 3 Antibody / ITGA3
CAT:
800-RQ4580
Size:
100 µg
Price:
Ask
- Availability: 24/48H Stock Items & 2 to 6 Weeks non Stock Items.
- Dry Ice Shipment: No








Integrin alpha 3 Antibody / ITGA3
Description:
ITGA3 (INTEGRIN, ALPHA-3), also called CD49C, VLA3 or GAPB3, is a protein that in humans is encoded by the ITGA3 gene. It is an integrin alpha subunit which is also a member of the family of cell surface adhesion molecules. This gene is mapped to chromosome 17 and its exact cytogenetic location is 17q21.33. ITGA3 makes up half of the a3b1 integrin duplex that plays a role in neural migration and corticogenesis together with beta-1 subunit. A functional link between DAB1 phosphorylation and ITGA3 signaling drives the timely detachment of migrating neurons from radial glial fibers. Expression of human ITGA3 increased the infectivity of virus for Chinese hamster ovary cells. ITGA3 also contains 13 potential N-glycosylation sites, 2 potential cleavage sites, and the 7 N-terminal repeating units characteristic of ITGAs. Recombinant ITGA3 is expressed as a 150-kD protein as the same size as the native protein by the western blot analysis.UniProt:
P26006Host:
RabbitImmunogen:
Amino acids YSVALHRQTERQQRYLLLAGAPRELAVPDGYTNR were used as the immunogen for the ITGA3 antibody.Clonality:
PolyclonalIsotype:
IgGApplications:
WB, IHC-P, IF/ICCFormat:
PurifiedBuffer:
0.5mg/ml if reconstituted with 0.2ml sterile DI waterReconstitution:
After reconstitution, the ITGA3 antibody can be stored for up to one month at 4oC. For long-term, aliquot and store at -20oC. Avoid repeated freezing and thawing.Limitations:
This ITGA3 antibody is available for research use only.CAS Number:
9007-83-4
DATASHEET Document
View Document