MCM2 Antibody
CAT:
800-R30800
Size:
100 µg
Price:
Ask
- Availability: 24/48H Stock Items & 2 to 6 Weeks non Stock Items.
- Dry Ice Shipment: No








MCM2 Antibody
Description:
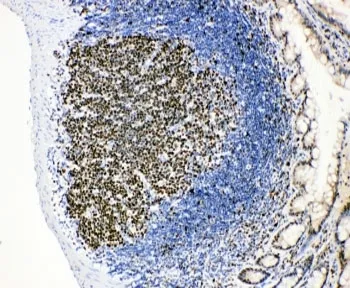
MCM2 is a human nuclear protein that plays an important role in onset of DNA replication and cell division. It is similar to members of the family of early S-phase proteins. The hexameric protein complex formed by MCM proteins is a key component of the pre-replication complex (pre-RC) and may be involved in the formation of replication forks and in the recruitment of other DNA replication related proteins.UniProt:
P97310Host:
RabbitImmunogen:
Amino acids 884-904 (DLFKFNKFSRDLKRKLILQQF-mouse) were used as the immunogen for this MCM2 antibody.Clonality:
PolyclonalIsotype:
IgGApplications:
WB, IHC-P, ICCFormat:
Antigen affinity purifiedBuffer:
0.5mg/ml if reconstituted with 0.2ml sterile DI waterReconstitution:
The lyophilized MCM2 antibody can be stored at 4oC to -20oC. After reconstituion, aliquot and store at -20oC. Avoid repeated freezing and thawing.Limitations:
This MCM2 antibody is available for research use only.CAS Number:
9007-83-4
DATASHEET Document
View Document