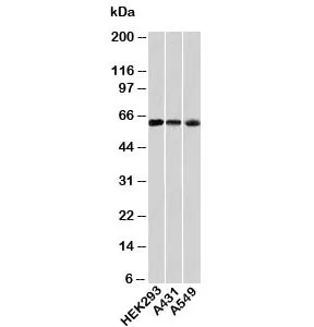
HSP60 Antibody / HSPD1
CAT:
800-N1068-100UG
Size:
100 µg
Price:
Ask
- Availability: 24/48H Stock Items & 2 to 6 Weeks non Stock Items.
- Dry Ice Shipment: No








HSP60 Antibody / HSPD1
Description:
First described in relation to heat shock, HSPs are now known to be produced in response to additional stressful conditions including cold and UV light, as well as during wound healing. Heat shock protein 60 (HSP60) is responsible for protein transportation from the cytoplasm to the mitochondrial matrix and the subsequent refolding of the transported proteins. HSP60 also functions as a molecular chaperone, or chaperonin, assisting linear amino acid chains to fold into their three-dimensional structure.Host:
RabbitImmunogen:
A recombinant protein fragment from human HSP60 was used as the immunogen for this antibody.Clonality:
PolyclonalIsotype:
IgGApplications:
WB, IHC-PFormat:
PurifiedBuffer:
0.5 mg/ml with 0.1 mg/ml BSA (US sourced), 0.05% sodium azideReconstitution:
Aliquot the HSP60 antibody and store frozen at -20oC or colder to avoid repeated freeze-thaw cycles.Limitations:
This HSP60 antibody is available for research use only.CAS Number:
9007-83-4