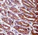
Tak1 Antibody / Map3k7
CAT:
800-F54678-0.4ML
Size:
0.4 mL
Price:
Ask
- Availability: 24/48H Stock Items & 2 to 6 Weeks non Stock Items.
- Dry Ice Shipment: No








Tak1 Antibody / Map3k7
Description:
Component of a protein kinase signal transduction cascade. Mediator of TRAF6 and TGF-beta signal transduction. Activates IKBKB and MAPK8 in response to TRAF6 signaling. Stimulates NF-kappa-B activation and the p38 MAPK pathway. In osmotic stress signaling, plays a major role in the activation of MAPK8/JNK, but not that of NF-kappa-B.UniProt:
Q62073Host:
RabbitImmunogen:
A portion of amino acids 131-160 from the mouse protein was used as the immunogen for the Map3k7 antibody.Clonality:
PolyclonalIsotype:
IgApplications:
IHC-P, WBFormat:
PurifiedBuffer:
In 1X PBS, pH 7.4, with 0.09% sodium azideReconstitution:
Aliquot the Map3k7 antibody and store frozen at -20oC or colder. Avoid repeated freeze-thaw cycles.Limitations:
This Map3k7 antibody is available for research use only.CAS Number:
9007-83-4