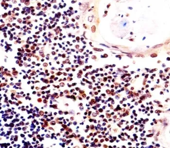
Histone H2AX Antibody / H2AFX
CAT:
800-F54477-0.05ML
Size:
0.05 mL
Price:
Ask
- Availability: 24/48H Stock Items & 2 to 6 Weeks non Stock Items.
- Dry Ice Shipment: No








Histone H2AX Antibody / H2AFX
Description:
Variant histone H2A which replaces conventional H2A in a subset of nucleosomes. Nucleosomes wrap and compact DNA into chromatin, limiting DNA accessibility to the cellular machineries which require DNA as a template. Histones thereby play a central role in transcription regulation, DNA repair, DNA replication and chromosomal stability. DNA accessibility is regulated via a complex set of post-translational modifications of histones, also called histone code, and nucleosome remodeling. Required for checkpoint-mediated arrest of cell cycle progression in response to low doses of ionizing radiation and for efficient repair of DNA double strand breaks (DSBs) specifically when modified by C-terminal phosphorylation.UniProt:
P16104Host:
MouseImmunogen:
A portion of amino acids 115-143 from the human protein was used as the immunogen for the Histone H2AX antibody.Clonality:
MonoclonalIsotype:
IgG1Applications:
IHC-P, WBFormat:
PurifiedBuffer:
In 1X PBS, pH 7.4, with 0.09% sodium azideReconstitution:
Aliquot the Histone H2AX antibody and store frozen at -20oC or colder. Avoid repeated freeze-thaw cycles.Limitations:
This Histone H2AX antibody is available for research use only.CAS Number:
9007-83-4