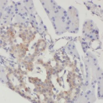
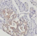
SUB1 antibody
CAT:
710-FNab08368
Size:
100 µg
Price:
Ask
- Availability: 24/48H Stock Items & 2 to 6 Weeks non Stock Items.
- Dry Ice Shipment: No








SUB1 antibody
Background:
General coactivator that functions cooperatively with TAFs and mediates functional interactions between upstream activators and the general transcriptional machinery. May be involved in stabilizing the multiprotein transcription complex. Binds single-stranded DNA. Also binds, in vitro, non-specifically to double-stranded DNA(ds DNA).Synonyms:
Activated RNA polymerase II transcriptional coactivator p15|Positive cofactor 4 (PC4)|SUB1 homolog|p14|SUB1|PC4|RPO2TC1Gene ID:
10923UniProt:
P53999Host:
RabbitReactivity:
Human, Mouse, RatImmunogen:
SUB1 homologTarget:
SUB1Clonality:
PolyclonalIsotype:
IgGApplications:
ELISA, WB, IHCField of Research:
MetabolismPurification:
Immunogen affinity purifiedDilution:
WB: 1:500-1:2000; IHC: 1:50-1:500Purity:
≥95% as determined by SDS-PAGEForm:
LiquidMolecular Weight:
20 kDa, 35 kDaStorage Conditions:
PBS with 0.02% sodium azide and 50% glycerol pH 7.3, -20°C for 12 months(Avoid repeated freeze / thaw cycles.)CAS Number:
9007-83-4