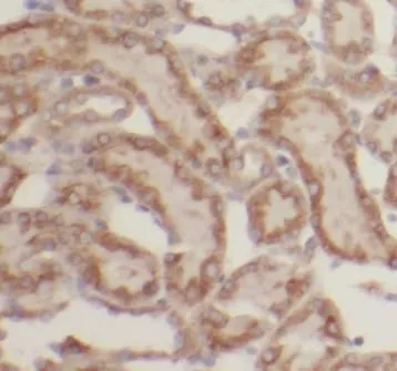
LHPP antibody
CAT:
710-FNab04769
Size:
100 µg
Price:
Ask
- Availability: 24/48H Stock Items & 2 to 6 Weeks non Stock Items.
- Dry Ice Shipment: No








LHPP antibody
Background:
Phosphatase that hydrolyzes imidodiphosphate, 3-phosphohistidine and 6-phospholysine. Has broad substrate specificity and can also hydrolyze inorganic diphosphate, but with lower efficiency(By similarity).Synonyms:
Phospholysine phosphohistidine inorganic pyrophosphate phosphatase (hLHPP)|LHPPGene ID:
64077UniProt:
Q9H008Host:
RabbitReactivity:
Human, Mouse, RatImmunogen:
phospholysine phosphohistidine inorganic pyrophosphate phosphataseTarget:
LHPPClonality:
PolyclonalIsotype:
IgGApplications:
ELISA, WB, IHC, IFField of Research:
MetabolismPurification:
Immunogen affinity purifiedDilution:
WB: 1:1000-1:4000; IHC: 1:50-1:500; IF: 1:10-1:100Purity:
≥95% as determined by SDS-PAGEForm:
LiquidMolecular Weight:
29 kDaStorage Conditions:
PBS with 0.02% sodium azide and 50% glycerol pH 7.3, -20°C for 12 months(Avoid repeated freeze / thaw cycles.)CAS Number:
9007-83-4