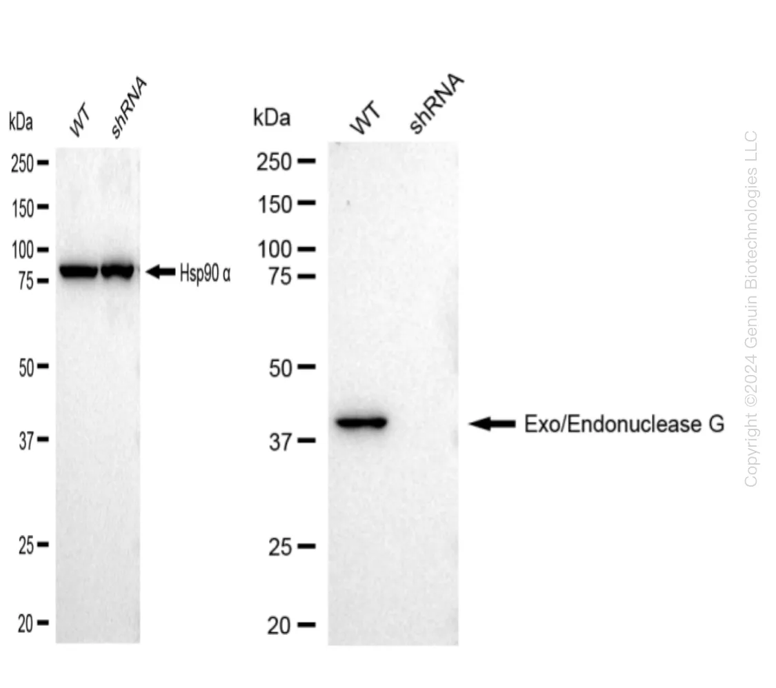
ENDOGL1 (EXOG) Human Knockdown Lysate
CAT:
937-LY300161
Size:
100 µg
Price:
Ask
- Availability: 24/48H Stock Items & 2 to 6 Weeks non Stock Items.
- Dry Ice Shipment: No








ENDOGL1 (EXOG) Human Knockdown Lysate
Description:
GenuIn WB-validated EXOG Knockdown HeLa Cell LysateUniProt:
Q9Y2C4Gene Location:
9941Storage Conditions:
Store at -20 ℃ for two years.Symbol:
ENDOGL1