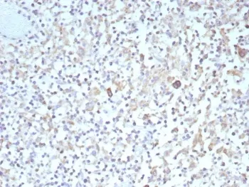
Bcl-X Recombinant Antibody
CAT:
800-V5590SAF-100UG
Size:
100 µg
Price:
Ask
- Availability: 24/48H Stock Items & 2 to 6 Weeks non Stock Items.
- Dry Ice Shipment: No








Bcl-X Recombinant Antibody
Description:
Recognizes a protein of 27kDa, identified as the Bcl-X protein. This MAb shows no cross-reaction with Bcl-2a or Bax protein. Bcl-X has two isoforms, Bcl-XL (long), a 241-amino acid protein which suppresses cell death. And Bcl-XS (short), a 178-amino acid protein lacking a 63-amino acid domain which functions as a dominant inhibitor of Bcl-2.UniProt:
Q07817Host:
RabbitImmunogen:
A recombinant fragment (within amino acids 1-100) of human BCL2L1 protein was used as the immunogen for the recombinant Bcl-X antibody.Clonality:
MonoclonalIsotype:
IgG κType:
RecombinantApplications:
IHC-PFormat:
PurifiedBuffer:
1 mg/ml in 1X PBS; BSA free, sodium azide freeReconstitution:
Aliquot the recombinant Bcl-X antibody and store frozen at -20oC or colder. Avoid repeated freeze-thaw cycles.Limitations:
This recombinant Bcl-X antibody is available for research use only.CAS Number:
9000-83-3