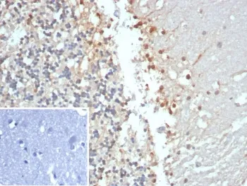
CKB Recombinant Antibody / Creatine kinase B / Creatine Phosphokinase-BB
CAT:
800-V5468-20UG
Size:
20 µg
Price:
Ask
- Availability: 24/48H Stock Items & 2 to 6 Weeks non Stock Items.
- Dry Ice Shipment: No








CKB Recombinant Antibody / Creatine kinase B / Creatine Phosphokinase-BB
Description:
Creatine kinases (CK) are a large family of isoenzymes that regulate levels of ATP in subcellular compartments, where they provide ATP at sites of fluctuating energy demand by the transfer of phosphates between creatine and adenine nucleotides. CKs provide the energy of phosphate hydrolysis necessary to drive the normal function of many cellular systems. In cells, the cytosolic CK enzymes consist of two subunits, which can be either B (brain type) or M (muscle type). There are three different isoenzymes: CKMM, CKBB and CKMB. This MAb recognizes the CKBB isoenzyme and does not react with the B subunit in CKMB.UniProt:
P12277Host:
RabbitImmunogen:
Recombinant human full-length Creatine kinase B protein was used as the immunogen for the recombinant Creatine kinase B antibody.Clonality:
MonoclonalIsotype:
IgG κType:
RecombinantApplications:
WB, IHC-PFormat:
PurifiedBuffer:
0.2 mg/ml in 1X PBS with 0.1 mg/ml BSA (US sourced), 0.05% sodium azideReconstitution:
Aliquot the recombinant Creatine kinase B antibody and store frozen at -20oC or colder. Avoid repeated freeze-thaw cycles.Limitations:
This recombinant Creatine kinase B antibody is available for research use only.CAS Number:
9000-83-3