CysLTR2 rabbit pAb
- Availability: 24/48H Stock Items & 2 to 6 Weeks non Stock Items.
- Dry Ice Shipment: No


CysLTR2 rabbit pAb
Background :
The cysteinyl leukotrienes LTC4, LTD4, and LTE4 are important mediators of human bronchial asthma. Pharmacologic studies have determined that cysteinyl leukotrienes activate at least 2 receptors, the protein encoded by this gene and CYSLTR1. This encoded receptor is a member of the superfamily of G protein-coupled receptors. It seems to play a major role in endocrine and cardiovascular systems. [provided by RefSeq, Jul 2008]Description :
The cysteinyl leukotrienes LTC4, LTD4, and LTE4 are important mediators of human bronchial asthma. Pharmacologic studies have determined that cysteinyl leukotrienes activate at least 2 receptors, the protein encoded by this gene and CYSLTR1. This encoded receptor is a member of the superfamily of G protein-coupled receptors. It seems to play a major role in endocrine and cardiovascular systems. [provided by RefSeq, Jul 2008],UniProt :
Q9NS75Swiss Prot :
Q9NS75Reactivity :
Human; Rat; MouseImmunogen :
The antiserum was produced against synthesized peptide derived from human CYSLTR2. AA range:281-330Clonality :
PolyclonalSource :
RabbitApplications :
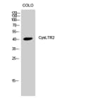
WB; IF; ELISAConcentration :
1 mg/mlDilution :
Western Blot: 1/500 - 1/2000. Immunofluorescence: 1/200 - 1/1000. ELISA: 1/20000. Not yet tested in other applications.Molecular Weight :
40kDStorage Conditions :
-20°C/1 yearObserved Molecular Weight :
40kDFragment :
IgGSubcellular Location :
Cell membrane; Multi-pass membrane protein.Other Product Names :
CYSLTR2; CYSLT2; CYSLT2R; PSEC0146; Cysteinyl leukotriene receptor 2; CysLTR2; G-protein coupled receptor GPCR21; hGPCR21; G-protein coupled receptor HG57; HPN321Gene ID (Human) :
57105

