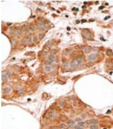
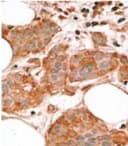
Bcl G (BCL2L14) (BH3 Domain) Rabbit Polyclonal Antibody
CAT:
937-AP11296PU-N
Size:
400 µL
Price:
Ask
- Availability: 24/48H Stock Items & 2 to 6 Weeks non Stock Items.
- Dry Ice Shipment: No








Bcl G (BCL2L14) (BH3 Domain) Rabbit Polyclonal Antibody
Description:
Bcl G (BCL2L14) (BH3 Domain) rabbit polyclonal antibody, PurifiedUniProt:
Q9BZR8Gene Location:
79370Host:
RabbitReactivity:
Human, MouseClonality:
PolyclonalApplications:
IHC, WBStability:
Shelf life: one year from despatch.Fragment:
IgSymbol:
BCL2L14CAS Number:
9007-83-4