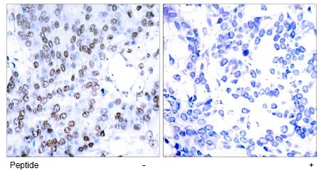
JUNB Rabbit Polyclonal Antibody
- Availability: 24/48H Stock Items & 2 to 6 Weeks non Stock Items.
- Dry Ice Shipment: No








JUNB Rabbit Polyclonal Antibody
Description :
JUNB rabbit polyclonal antibody, Aff - PurifiedUniProt :
P17275Accession Number :
NP_002220.1Gene Location :
3726Host :
RabbitReactivity :
Human, MouseClonality :
PolyclonalApplications :
IF, IHCStability :
Shelf life: one year from despatch.Symbol :
JUNBCAS Number :
9007-83-4

