Anti-DNMT3A / DNA Methyltransferase 3 Alpha (PCRP-DNMT3A-1E2), CF594 conjugate
CAT:
37-BNC941898-100
Size:
100 µL
For Laboratory Research Only. Not for Clinical or Personal Use.
Price:
Ask
- Availability: 24/48H Stock Items & 2 to 6 Weeks non Stock Items.
- Dry Ice Shipment: No
















Anti-DNMT3A / DNA Methyltransferase 3 Alpha (PCRP-DNMT3A-1E2), CF594 conjugate
Description:
The specificity of this monoclonal antibody to its intended target was validated by HuProt™Array, containing more than 19,000, full-length human proteins. DNMT3A is required for genome-wide de novo methylation and is essential for the establishment of DNA methylation patterns during development. DNA methylation is coordinated with methylation of histones. It modifies DNA in a non-processive manner and also methylates non-CpG sites. May preferentially methylate DNA linker between 2 nucleosomal cores and is inhibited by histone H1. Plays a role in paternal and maternal imprinting. Required for methylation of most imprinted loci in germ cells. Acts as a transcriptional corepressor for ZBTB18. Recruited to trimethylated 'Lys-36' of histone H3 (H3K36me3) sites. Can actively repress transcription through the recruitment of HDAC activity._x000D__x000D_Primary antibodies are available purified, or with a selection of fluorescent CF® Dyes and other labels. CF® Dyes offer exceptional brightness and photostability. Note: Conjugates of blue fluorescent dyes like CF®405S and CF®405M are not recommended for detecting low abundance targets, because blue dyes have lower fluorescence and can give higher non-specific background than other dye colors._x000D_ _x000D_Synonyms:
DNA methyltransferase 3 alpha; DNA methyltransferase HsaIIIA; DNAMTaseHsaIIIA; DNMT; DNMT3A2; M.HsaIIIA; MCMT; TBRSUNSPSC:
41116161UNSPSC Description:
Primary and secondary antibodies for multiple methodology immunostaining detection applicationGene Name:
DNMT3AGene ID:
1788NCBI Gene ID:
154069UniProt:
Q16655Cellular Locus:
NucleusHost:
MouseSpecies Reactivity:
HumanImmunogen:
Recombinant full-length human DNMT3A proteinTarget Antigen:
DNA Methyltransferase 3 Alpha | DNMT3AClonality:
MonoclonalIsotype:
IgG1Clone:
PCRP-DNMT3A-1E2Conjugation:
CF594Source:
AnimalApplications:
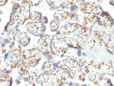
IHC, FFPE (verified)Validated Applications:
IHC, FFPEField of Research:
DNA methylationPositive Control:
HeLa cells orPlacentaConcentration:
0.1 mg/mLBuffer:
PBS, 0.1% BSA, 0.05% azideMolecular Weight:
102 kDaAdditionnal Information:
Higher concentration may be required for direct detection using primary antibody conjugates than for indirect detection with secondary antibody|Immunohistology (formalin): 1-2 ug/mL for 30 minutes at RT|Immunoprecipitation 2-4 ug/mg protein|Staining of formalin-fixed tissues requires boiling tissue sections in 10 mM Tris with1 mM EDTA pH 9.0 for 10-20 minutes followed by cooling at RT for 20 minutes|Western blotting 0.5-1.0 ug/mL|Optimal dilution for a specific application should be determined by userShipping Conditions:
Room temperatureStorage Conditions:
4°C; Protect from light; Stable at room temperature or 37°C (98°F) for 7 days.Shelf Life:
2 yearsCAS Number:
9007-83-4
DATASHEET Document
View DocumentMSDS Document
View Document