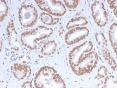
Anti-ATRX / RAD54 (Alpha Thalassemia Mental Retardation) (ATRX/2900R), CF488A conjugate
CAT:
37-BNC882900-500
Size:
500 µL
Price:
Ask
- Availability: 24/48H Stock Items & 2 to 6 Weeks non Stock Items.
- Dry Ice Shipment: No












Anti-ATRX / RAD54 (Alpha Thalassemia Mental Retardation) (ATRX/2900R), CF488A conjugate
Description:
ATRX is a member of the Snf2 family of helicase/ATPases, which contribute to the remodeling of the nucelosome structure in an ATP-dependent manner, and facilitate the initiation of transcription and replication. Structurally, ATRX contains a PHD zinc finger motif. ATRX is regulated throughout the cell cycle where it is differentially distributed within the nucleus. During interphase, ATRX predominately associates with the nuclear matrix, while during mitosis, ATRX localizes with condensed chromatin. At the onset of M phase, phosphorylation rapidly induces this redistribution of ATRX to the short arms of human acrocentric chromosomes, where it then specifically complexes with heterochromatin protein 1 alpha to mediate chromosomal segregation. Mutations in the ATRX gene correlate with a high incidence of severe X-linked form of syndromal mental retardation associated with alpha-thalassemia or ATRX syndrome. Primary antibodies are available purified, or with a selection of fluorescent CF® Dyes and other labels. CF® Dyes offer exceptional brightness and photostability. Note: Conjugates of blue fluorescent dyes like CF®405S and CF®405M are not recommended for detecting low abundance targets, because blue dyes have lower fluorescence and can give higher non-specific background than other dye colors.Synonyms:
Transcriptional regulator ATRX; ATP-dependent helicase ATRX; RAD54 Homolog; X-linked helicase II; X-linked nuclear proteinUNSPSC:
41116161UNSPSC Description:
Primary and secondary antibodies for multiple methodology immunostaining detection applicationGene Name:
ATRXGene ID:
546NCBI Gene ID:
533526; 653797UniProt:
P46100Cellular Locus:
NucleusHost:
RabbitSpecies Reactivity:
HumanImmunogen:
Recombinant full-length human ATRX proteinTarget Antigen:
ATRXClonality:
Recombinant MonoclonalIsotype:
IgGClone:
ATRX/2900RConjugation:
CF488ASource:
AnimalApplications:
IHC, FFPE (verified)Validated Applications:
IHC, FFPEField of Research:
Cancer, Cell cyclePositive Control:
Raji, HeLa or A431 Cells. Pancreas, Adrenal, Ovary, Kidney, Prostate or Stomach.Concentration:
0.1 mg/mLBuffer:
PBS, 0.1% BSA, 0.05% azideMolecular Weight:
280 kDaAdditionnal Information:
Higher concentration may be required for direct detection using primary antibody conjugates than for indirect detection with secondary antibody|Immunohistology (formalin): 1-2 ug/mL for 30 minutes at RT|Staining of formalin-fixed tissues is enhanced by boiling tissue sections in 10 mM Tris with 1 mM EDTA Buffer pH 9.0 for 10-20 minutes followed by cooling at RT for 20 minutes|Optimal dilution for a specific application should be determined by userShipping Conditions:
Room temperatureStorage Conditions:
4°C; Protect from light; Stable at room temperature or 37°C (98°F) for 7 days.Shelf Life:
2 yearsCAS Number:
9007-83-4
DATASHEET Document
View DocumentMSDS Document
View Document