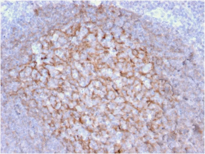
Anti-CD21 (Mature B-Cell & Follicular Dendritic Cell Marker) (CR2/1953), Biotin conjugate
CAT:
37-BNCB1953-100
Size:
100 µL
Price:
Ask
- Availability: 24/48H Stock Items & 2 to 6 Weeks non Stock Items.
- Dry Ice Shipment: No








Anti-CD21 (Mature B-Cell & Follicular Dendritic Cell Marker) (CR2/1953), Biotin conjugate
Description:
This antibody recognizes a protein of 140 kDa, which is identified as the complement receptor 2 (CR2) / CD21. This protein is expressed strongly on mature B cells, follicular dendritic cells and weakly on immature thymocytes and T lymphocytes. In B-cell ontogeny, CD21 appears after the pre-B-stage, is maintained during peripheral B-cell development and is lost upon terminal differentiation into plasma cells. CD21 expression is also gradually lost after stimulation of B cells in vitro. CD21 functions as receptor for C3d, C3dg and iC3b Complement components, for EBV and for IFNalpha. CD21 binds to CD23 and associates with CD19, CD81 and Leu13 to form a large signal-transduction complex involved in B cell activation.Primary antibodies are available purified, or with a selection of fluorescent CF® Dyes and other labels. CF® Dyes offer exceptional brightness and photostability. Note: Conjugates of blue fluorescent dyes like CF®405S and CF®405M are not recommended for detecting low abundance targets, because blue dyes have lower fluorescence and can give higher non-specific background than other dye colors.Synonyms:
CD21; Complement C3d receptor (C3DR); Complement Receptor type 2 (CR2); CVID7; EBV receptor; EBV-R; Epstein-Barr virus receptor; EVBR; SLEB9UNSPSC:
41116161UNSPSC Description:
Primary and secondary antibodies for multiple methodology immunostaining detection applicationGene Name:
CR2Gene ID:
1380NCBI Gene ID:
445757UniProt:
P20023Cellular Locus:
Plasma membraneHost:
MouseSpecies Reactivity:
HumanImmunogen:
Recombinant human CR2 (CD21) protein fragment (around aa 44-196) (exact sequence is proprietary)Target Antigen:
CD21Clonality:
MonoclonalIsotype:
IgG1 κClone:
CR2/1953Conjugation:
BiotinSource:
AnimalApplications:
IHC, FFPE (verified)Validated Applications:
IHC, FFPEField of Research:
ImmunologyPositive Control:
WEHI-231 cells. Human tonsil tissue.Concentration:
0.1 mg/mLBuffer:
PBS, 0.1% BSA, 0.05% azideMolecular Weight:
140 kDaShipping Conditions:
Room temperatureStorage Conditions:
4°C; Stable at room temperature or 37°C (98°F) for 7 days.Shelf Life:
2 yearsCAS Number:
9007-83-4
DATASHEET Document
View DocumentMSDS Document
View Document