Anti-Factor XIIIa (Coagulation Factor XIIIA Chain) (F13A1/1683), Biotin conjugate
CAT:
37-BNCB1683-100
Size:
100 µL
Price:
Ask
- Availability: 24/48H Stock Items & 2 to 6 Weeks non Stock Items.
- Dry Ice Shipment: No
















Anti-Factor XIIIa (Coagulation Factor XIIIA Chain) (F13A1/1683), Biotin conjugate
Description:
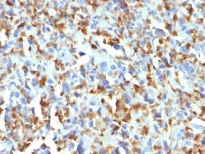
This antibody recognizes a protein of 83 kDa, which is identified as Factor XIIIa. It has been identified in platelets, megakaryocytes, and fibroblast-like mesenchymal or histiocytic cells in the placenta, uterus, and prostate, monocytes and macrophages and dermal dendritic cells. Anti-factor XIIIa has been found to be useful in differentiating between dermatofibroma (almost all cases are positive), dermatofibrosarcoma protuberans (-/ ) and desmoplastic malignant melanoma (-). Anti-factor XIIIa positivity is also seen in capillary hemagioblastoma, hemangioendothelioma, hemangiopericytoma, xanthogranuloma, xanthoma, hepatocellular carcinoma, glomus tumor, and meningioma._x000D__x000D_Primary antibodies are available purified, or with a selection of fluorescent CF® Dyes and other labels. CF® Dyes offer exceptional brightness and photostability. Note: Conjugates of blue fluorescent dyes like CF®405S and CF®405M are not recommended for detecting low abundance targets, because blue dyes have lower fluorescence and can give higher non-specific background than other dye colors.Synonyms:
Coagulation factor XIII A chain; Coagulation factor XIII A1 polypeptide; Coagulation factor XIIIa; F13A; F13a1; Factor XIIIA; Fibrin stabilizing factor, A subunit; Fibrinoligase; FSF, A subunit; Protein-glutamine gamma-glutamyltransferase A chain; TGase; Transglutaminase A chain; Transglutaminase. plasmaUNSPSC:
41116161UNSPSC Description:
Primary and secondary antibodies for multiple methodology immunostaining detection applicationGene Name:
F13A1Gene ID:
2162NCBI Gene ID:
335513UniProt:
P00488Cellular Locus:
Cytoplasmic|Secreted (extracellular)Host:
MouseSpecies Reactivity:
HumanImmunogen:
Recombinant fragment of human Factor XIIIa protein (aa46-181) (exact sequence is proprietary)Target Antigen:
Factor-XIIIaClonality:
MonoclonalIsotype:
IgG2b κClone:
F13A1/1683Conjugation:
BiotinSource:
AnimalApplications:
IHC, FFPE (verified)Validated Applications:
IHC, FFPEField of Research:
Cancer, ImmunologyPositive Control:
293T Cells. Placenta.Concentration:
0.1 mg/mLBuffer:
PBS, 0.1% BSA, 0.05% azideMolecular Weight:
83 kDaAdditionnal Information:
Higher concentration may be required for direct detection using primary antibody conjugates than for indirect detection with secondary antibody|Immunofluorescence: 0.5-1 ug/mL|Immunohistology (formalin) 1-2 ug/mL|Staining of formalin-fixed tissues requires boiling tissue sections in 10 mM citrate buffer, pH 6.0, for 10-20 min followed by cooling at RT for 20 min|Flow Cytometry 0.5-1 ug/million cells/0.1 mL|ELISA For coating, order Ab without BSA|Optimal dilution for a specific application should be determined by userShipping Conditions:
Room temperatureStorage Conditions:
4°C; Stable at room temperature or 37°C (98°F) for 7 days.Shelf Life:
2 yearsCAS Number:
9007-83-4
DATASHEET Document
View DocumentMSDS Document
View Document