Anti-SUMO-1(SUMO1/1188), CF568 conjugate
CAT:
37-BNC681188-500
Size:
500 µL
Price:
Ask
- Availability: 24/48H Stock Items & 2 to 6 Weeks non Stock Items.
- Dry Ice Shipment: No
























Anti-SUMO-1(SUMO1/1188), CF568 conjugate
Description:
This MAb is specific to SUMO-1 and shows no cross-reaction with either SUMO-2 or SUMO-3. The small ubiquitin-related modifier (SUMO) proteins, which include SUMO-1, SUMO-2 and SUMO-3, belong to the ubiquitin-like protein family. Like ubiquitin, the SUMO proteins are synthesized as precursor proteins that undergo processing before conjugation to target proteins. Also, both utilize the E1, E2, and E3 cascade enzymes for conjugation. However, SUMO and ubiquitin differ with respect to targeting. Ubiquitination predominantly targets proteins for degradation, whereas sumoylation targets proteins to a variety of cellular processing, including nuclear transport, transcriptional regulation, apoptosis and protein stability. The unconjugated SUMO-1 protein localizes to the nuclear membrane.Primary antibodies are available purified, or with a selection of fluorescent CF® Dyes and other labels. CF® Dyes offer exceptional brightness and photostability. Note: Conjugates of blue fluorescent dyes like CF®405S and CF®405M are not recommended for detecting low abundance targets, because blue dyes have lower fluorescence and can give higher non-specific background than other dye colors.Synonyms:
GAP-modifying protein 1; GMP1; OFC10; PIC1; SENP2; Sentrin 1; Small ubiquitin-related modifier 1; SMT3; SMT3 suppressor of mif two 3 homolog 1; SMT3C; SMT3H3; Ubiquitin homology domain protein PIC1; Ubiquitin Like 1; Ubiquitin like protein UBL1UNSPSC:
41116161UNSPSC Description:
Primary and secondary antibodies for multiple methodology immunostaining detection applicationGene Name:
SUMO1Gene ID:
7341NCBI Gene ID:
596171UniProt:
P63165Cellular Locus:
Nucleus & cytoplasmHost:
MouseSpecies Reactivity:
Human, RatImmunogen:
Recombinant human SUMO1 proteinTarget Antigen:
SUMO 1Clonality:
MonoclonalIsotype:
IgG1 κClone:
SUMO1/1188Conjugation:
CF568Source:
AnimalApplications:
IHC, FFPE (verified)Validated Applications:
IHC, FFPEField of Research:
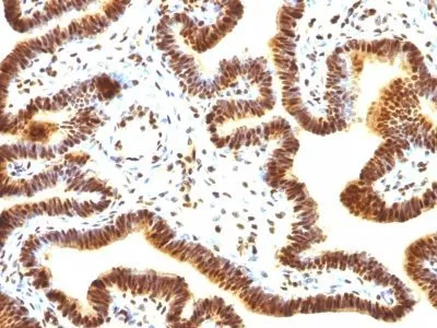
SumoylationPositive Control:
Breast carcinomaConcentration:
0.1 mg/mLBuffer:
PBS, 0.1% BSA, 0.05% azideMolecular Weight:
11.5 kDa (Monomer); 90 kDa (Heteromer)Additionnal Information:
Higher concentration may be required for direct detection using primary antibody conjugates than for indirect detection with secondary antibody|Immunofluorescence: 0.5-1 ug/mL|Immunohistology formalin-fixed 0.5-1 ug/mL|Staining of formalin-fixed tissues requires boiling tissue sections in 10 mM citrate buffer, pH 6.0, for 10-20 min followed by cooling at RT for 20 minutes|Flow Cytometry 0.5-1 ug/million cells/0.1 mL|Western blotting 0.5-1 ug/mL|Predicted to show broad species reactivity|Optimal dilution for a specific application should be determined by userShipping Conditions:
Room temperatureStorage Conditions:
4°C; Protect from light; Stable at room temperature or 37°C (98°F) for 7 days.Shelf Life:
2 yearsCAS Number:
9007-83-4
DATASHEET Document
View DocumentMSDS Document
View Document