Anti-pS2 / pNR-2 / TFF1 (Estrogen-Regulated Protein)(TFF1/2133), CF740 conjugate
For Laboratory Research Only. Not for Clinical or Personal Use.
- Availability: 24/48H Stock Items & 2 to 6 Weeks non Stock Items.
- Dry Ice Shipment: No








Anti-pS2 / pNR-2 / TFF1 (Estrogen-Regulated Protein)(TFF1/2133), CF740 conjugate
Description:
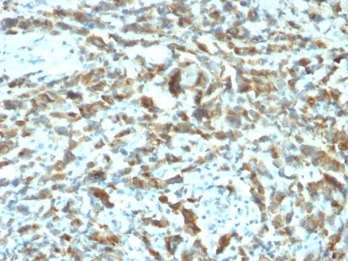
Recognizes a polypeptide of 6. 5 kDa, identified as pS2 estrogen-regulated protein. Its epitope is located in the c-terminus of human pS2 protein. pS2 is a trefoil peptide. Trefoil peptides are protease resistant molecules secreted throughout the gut that play a role in mucosal healing. These peptides contain three intra-chain disulfide bonds, forming the trefoil motif, or P-domain. pS2 is known to form dimers and this dimerization is thought to play a role in its protective and healing properties. About 60% of breast carcinomas are positive for pS2. Staining is cytoplasmic, often with localization to the Golgi apparatus. pS2 is shown to be localized in normal stomach mucosa, gastric fluid, goblet cells in the colon and small intestine, and in ulcerations of the gastrointestinal tract. Several studies have shown that pS2 is primarily expressed in estrogen receptor-positive breast tumors and it may define a subset of estrogen-dependent tumors that displays an increased likelihood of response to endocrine therapy. Primary antibodies are available purified, or with a selection of fluorescent CF® Dyes and other labels. CF® Dyes offer exceptional brightness and photostability. Note: Conjugates of blue fluorescent dyes like CF®405S and CF®405M are not recommended for detecting low abundance targets, because blue dyes have lower fluorescence and can give higher non-specific background than other dye colors.Synonyms:
BCEI; Breast Cancer Estrogen Inducible Protein; Gastrointestinal Trefoil Protein; Gastrointestinal trefoil protein pS2; HP1A; HPS2; pNR2; TFF1; Trefoil Factor 1UNSPSC:
41116161UNSPSC Description:
Primary and secondary antibodies for multiple methodology immunostaining detection applicationGene Name:
TFF1Gene ID:
7031NCBI Gene ID:
162807UniProt:
P04155Cellular Locus:
Cytoplasmic|Golgi apparatusHost:
MouseSpecies Reactivity:
HumanImmunogen:
Recombinant full-length human TFF1 proteinTarget Antigen:
pNR-2 | pS2 | TFF1Clonality:
MonoclonalIsotype:
IgG2b κClone:
TFF1/2133Conjugation:
CF740Disease:
TumorSource:
AnimalApplications:
Flow, intracellular (verified) | IF (verified) | IHC, FFPE (verified)Validated Applications:
FC, IF, IHC, FFPEPositive Control:
MCF-7 cells; Breast or Ovarian carcinoma.Concentration:
0.1 mg/mLBuffer:
PBS, 0.1% rBSA, 0.05% azideMolecular Weight:
6.5 kDaShipping Conditions:
Room temperatureStorage Conditions:
4°C; Protect from light; Stable at room temperature or 37°C (98°F) for 7 days.Shelf Life:
2 yearsCAS Number:
9007-83-4
DATASHEET Document
View DocumentMSDS Document
View Document