Anti-Human Kappa Light Chain(KLC264)
- Availability: 24/48H Stock Items & 2 to 6 Weeks non Stock Items.
- Dry Ice Shipment: No












Anti-Human Kappa Light Chain(KLC264)
Description:
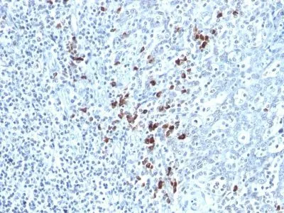
This MAb is specific to kappa light chain of immunoglobulin and shows no cross-reaction with lambda light chain or any of the five heavy chains. In mammals, the two light chains in an antibody are always identical, with only one type of light chain, kappa or lambda. The ratio of Kappa to Lambda is 70:30. However, with the occurrence of multiple myeloma or other B-cell malignancies this ratio is disturbed. Antibody to the kappa light chain is reportedly useful in the identification of leukemias, plasmacytomas, and certain non-Hodgkin's lymphomas. Demonstration of clonality in lymphoid infiltrates indicates that the infiltrate is malignant._x000D_ _x000D_ Primary antibodies are available purified, or with a selection of fluorescent CF® Dyes and other labels. CF® Dyes offer exceptional brightness and photostability. Note: Conjugates of blue fluorescent dyes like CF®405S and CF®405M are not recommended for detecting low abundance targets, because blue dyes have lower fluorescence and can give higher non-specific background than other dye colors._x000D_ _x000D_Synonyms:
HCAK1; Ig Kappa Chain C Region; IGKC; Immunoglobulin KMUNSPSC:
41116161UNSPSC Description:
Primary and secondary antibodies for multiple methodology immunostaining detection applicationGene Name:
IGKCGene ID:
3514NCBI Gene ID:
449609UniProt:
P01601; P01834Cellular Locus:
Plasma membrane|Secreted (extracellular)Host:
MouseSpecies Reactivity:
HumanImmunogen:
Recombinant human Ig kappa chainTarget Antigen:
Human Kappa Light ChainClonality:
MonoclonalIsotype:
IgG1 κClone:
KLC264Conjugation:
Purified, with BSADisease:
TumorSource:
AnimalApplications:
Flow (verified) | IHC, FFPE (verified) | WB (verified)Validated Applications:
FC, IHC, FFPE, WBField of Research:
Cancer, Immunology, InflammationPositive Control:
293T, Raji or hPBL cells. Tonsil or SpleenConcentration:
0.2 mg/mLBuffer:
PBS, 0.05% BSA, 0.05% azideMolecular Weight:
~22.5 kDaAdditionnal Information:
Higher concentration may be required for direct detection using primary antibody conjugates than for indirect detection with secondary antibody|Immunofluorescence: 0.5-1 ug/mL|Immunohistology formalin-fixed 0.5-1.0 ug/mL|Staining of formalin-fixed tissues requires boiling tissue sections in 10 mM citrate buffer, pH 6.0, for 10-20 min followed by cooling at RT for 20 minutes|Flow Cytometry 0.5-1 ug/million cells/0.1 mL|Western blotting 0.5-1.0 ug/mL|Optimal dilution for a specific application should be determined by userShipping Conditions:
Room temperatureStorage Conditions:
4°C; Stable at room temperature or 37°C (98°F) for 7 days.Shelf Life:
2 yearsCAS Number:
9007-83-4
DATASHEET Document
View DocumentMSDS Document
View Document