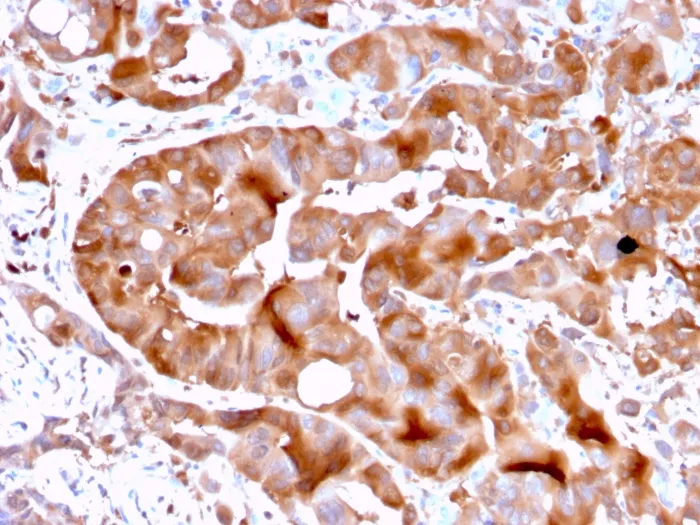
Anti-FABP5 (Marker of Metastatic Potential in Colorectal Cancer)(FABP5/3750), CF647 conjugate
CAT:
37-BNC473750-100
Size:
100 µL
Price:
Ask
- Availability: 24/48H Stock Items & 2 to 6 Weeks non Stock Items.
- Dry Ice Shipment: No








Anti-FABP5 (Marker of Metastatic Potential in Colorectal Cancer)(FABP5/3750), CF647 conjugate
Description:
This gene encodes the fatty acid binding protein found in epidermal cells, and was first identified as being upregulated in psoriasis tissue. Fatty acid binding proteins are a family of small, highly conserved, cytoplasmic proteins that bind long-chain fatty acids and other hydrophobic ligands. FABPs may play roles in fatty acid uptake, transport, and metabolism. Polymorphisms in this gene are associated with type 2 diabetes. The human genome contains many pseudogenes similar to this locus. FABP5 is also associated with poor survival in triple-negative breast cancer. Additionally, FABP5 gene is upregulated in colorectal cancer cells compared to normal colon cells in a manner that correlates with disease stage and that FABP5 significantly promotes colorectal cancer cell growth and metastatic potential. Primary antibodies are available purified, or with a selection of fluorescent CF® Dyes and other labels. CF® Dyes offer exceptional brightness and photostability. Note: Conjugates of blue fluorescent dyes like CF®405S and CF®405M are not recommended for detecting low abundance targets, because blue dyes have lower fluorescence and can give higher non-specific background than other dye colors.Synonyms:
FABP5; E-FABP; EFABP; PA-FABP; PAFABPUNSPSC:
41116161UNSPSC Description:
Primary and secondary antibodies for multiple methodology immunostaining detection applicationGene Name:
FABP5Gene ID:
2171NCBI Gene ID:
408061UniProt:
Q01469Cellular Locus:
Nucleus & cytoplasmHost:
MouseSpecies Reactivity:
HumanImmunogen:
Recombinant full-length human FABP5 proteinTarget Antigen:
FABP5Clonality:
MonoclonalIsotype:
IgG2a κClone:
FABP5/3750Conjugation:
CF647Source:
AnimalApplications:
IHC, FFPE (verified) | WB (verified)Validated Applications:
IHC, FFPE, WBPositive Control:
MOLT-4 and HEK-293 cell lines. Esophagus, Skin. Keratinocytes; highly expressed in psoriatic skin. Colon.Concentration:
0.1 mg/mLBuffer:
PBS, 0.1% BSA, 0.05% azideMolecular Weight:
15.4 kDaShipping Conditions:
Room temperatureStorage Conditions:
4°C; Protect from light; Stable at room temperature or 37°C (98°F) for 7 days.Shelf Life:
2 yearsCAS Number:
9007-83-4
DATASHEET Document
View DocumentMSDS Document
View Document