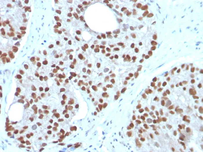
Anti-NKX3.1 (Metastatic Prostate Adenocarcinoma Marker)(NKX3.1/3350), CF568 conjugate
CAT:
37-BNC683350-100
Size:
100 µL
Price:
Ask
- Availability: 24/48H Stock Items & 2 to 6 Weeks non Stock Items.
- Dry Ice Shipment: No








Anti-NKX3.1 (Metastatic Prostate Adenocarcinoma Marker)(NKX3.1/3350), CF568 conjugate
Description:
NKX3. 1 is a prostate specific gene encoding a transcription factor that plays an important role in normal prostate development and carcinogenesis. It is a prostatic tumor suppressor gene located on chromosome 8p21. 2, which frequently undergoes a loss of heterozygosity. NKX3. 1 expression is highly restricted in prostate epithelial cells and therefore can be used as a diagnostic biomarker for prostate cancer and other metastatic lesions of prostatic origin. Furthermore, NKX3. 1 shows better sensitivity than Prostate Specific Antigen (PSA) for identifying metastatic prostatic adenocarcinoma. This suggests that immunohistochemical staining of NKX3. 1, along with other prostate-restricted markers, may be valuable for the definitive determination of prostatic origin in poorly differentiated metastatic carcinomas. Primary antibodies are available purified, or with a selection of fluorescent CF® Dyes and other labels. CF® Dyes offer exceptional brightness and photostability. Note: Conjugates of blue fluorescent dyes like CF®405S and CF®405M are not recommended for detecting low abundance targets, because blue dyes have lower fluorescence and can give higher non-specific background than other dye colors.Synonyms:
NKX3A; NK3 Transcription Factor Related; Locus 1 (Drosophila); NK3 Transcription Factor Related; Locus 1; NK Homeobox (Drosophila); Family 3; A; NK3 Transcription Factor Homolog A; NK Homeobox; Family 3; A; BAPX2;UNSPSC:
41116161UNSPSC Description:
Primary and secondary antibodies for multiple methodology immunostaining detection applicationGene Name:
NKX3-1Gene ID:
4824NCBI Gene ID:
55999UniProt:
Q99801Cellular Locus:
NucleusHost:
MouseSpecies Reactivity:
HumanImmunogen:
Recombinant fragment (around aa 92-224) of human NKX3.1 protein (exact sequence is proprietary)Target Antigen:
NKX3.1Clonality:
MonoclonalIsotype:
IgG2b κClone:
NKX3.1/3350Conjugation:
CF568Disease:
TumorSource:
AnimalApplications:
IHC, FFPE (verified)Validated Applications:
IHC, FFPEPositive Control:
Highly expressed in the prostate and at a lower level in the testis.Concentration:
0.1 mg/mLBuffer:
PBS, 0.1% BSA, 0.05% azideMolecular Weight:
35 kDaShipping Conditions:
Room temperatureStorage Conditions:
4°C; Protect from light; Stable at room temperature or 37°C (98°F) for 7 days.Shelf Life:
2 yearsCAS Number:
9007-83-4
DATASHEET Document
View DocumentMSDS Document
View Document