Anti-NSE gamma (Neuron Specific Enolase, gamma) (Neuroendocrine Marker)(NSE-P2), CF488A conjugate
CAT:
37-BNC881670-100
Size:
100 µL
Price:
Ask
- Availability: 24/48H Stock Items & 2 to 6 Weeks non Stock Items.
- Dry Ice Shipment: No








Anti-NSE gamma (Neuron Specific Enolase, gamma) (Neuroendocrine Marker)(NSE-P2), CF488A conjugate
Description:
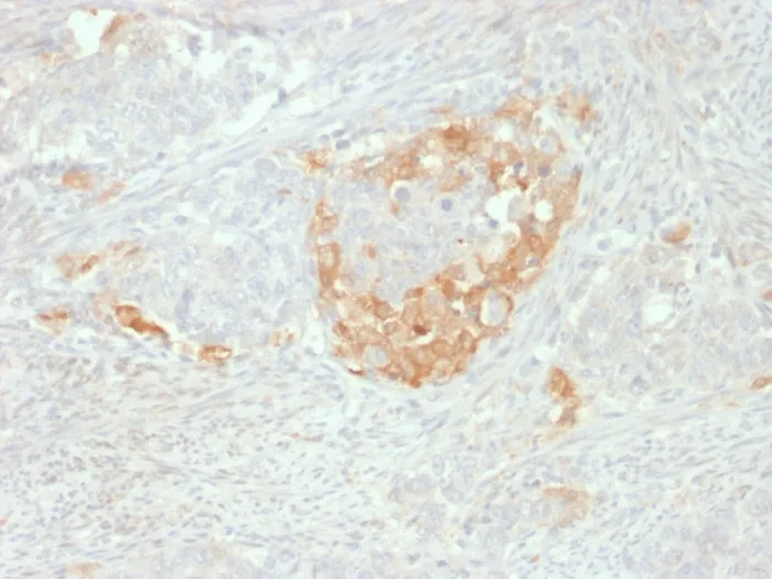
This monoclonal antibody recognizes a protein of about 50 kDa, which is identified as gamma-enolase. Three isoenzymes of enolases are identified, alpha, beta and gamma. Alpha-isoform is expressed in most tissues, whereas beta-form is expressed predominantly in muscle tissue whereas gamma-enolase is found only in nervous tissue. These isoforms exist as both homodimers and heterodimers, and they play a role in converting phosphoglyceric acid to phosphenolpyruvic acid in the glycolytic pathway. NSE-gamma is a useful marker to identify peripheral nerves and tumors of neuro-endocrine origins, such as pheochromocytomas. It it be usually employed in combination with other markers such as Synaptophysin, Chromogranin A, and Neurofilament. Primary antibodies are available purified, or with a selection of fluorescent CF® Dyes and other labels. CF® Dyes offer exceptional brightness and photostability. Note: Conjugates of blue fluorescent dyes like CF®405S and CF®405M are not recommended for detecting low abundance targets, because blue dyes have lower fluorescence and can give higher non-specific background than other dye colors.Synonyms:
2-phospho-D-glycerate hydrolyase; ENO2; ENOG; Enolase 2 gamma neuronal; Enolase2; Gamma-enolase; Neural enolase; Neuron specific gamma enolase; Neuron-specific enolase; NSEUNSPSC:
41116161UNSPSC Description:
Primary and secondary antibodies for multiple methodology immunostaining detection applicationGene Name:
ENO2Gene ID:
2026NCBI Gene ID:
511915UniProt:
P09104Cellular Locus:
CytoplasmicHost:
MouseSpecies Reactivity:
HumanImmunogen:
A synthetic peptide of human NSE gamma (around aa416-433) (exact sequence is proprietary)Target Antigen:
NSE-GammaClonality:
MonoclonalIsotype:
IgG1 κClone:
NSE-P2Conjugation:
CF488ADisease:
TumorSource:
AnimalApplications:
IHC, FFPE (verified)Validated Applications:
IHC, FFPEPositive Control:
HepG2, SH-SY-5Y, HeLa or Y79 cells. Pancreas, Cerebellum or Pheochromocytoma.Concentration:
0.1 mg/mLBuffer:
PBS, 0.1% BSA, 0.05% azideMolecular Weight:
~50 kDaShipping Conditions:
Room temperatureStorage Conditions:
4°C; Protect from light; Stable at room temperature or 37°C (98°F) for 7 days.Shelf Life:
2 yearsCAS Number:
9007-83-4
DATASHEET Document
View DocumentMSDS Document
View Document