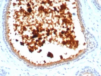
Mammaglobin A Recombinant Antibody / SCGB2A2
CAT:
800-V9243SAF-100UG
Size:
100 µg
Price:
Ask
- Availability: 24/48H Stock Items & 2 to 6 Weeks non Stock Items.
- Dry Ice Shipment: No








Mammaglobin A Recombinant Antibody / SCGB2A2
Description:
Mammaglobin, 10 kDa, is a cytoplasmic protein, a mammary-specific member of the uteroglobin family. It is related to a family of epithelial secretory proteins that includes prostatein and Clara cell protein. Mammaglobin occurs in about 80% of breast carcinomas. The extend is generally larger than that of GCDFP-15. Up to 15% of non-breast carcinomas (such as stomach, lung, colon, hepatobiliary, thyroid, ovarian, and urothelial carcinomas) have been reported positive, usually only focally. Mammaglobin is a sensitive and fairly specific marker for breast carcinoma.UniProt:
Q13296Host:
RabbitImmunogen:
Recombinant full-length human Mammaglobin/SCGB2A2 protein was used as the immunogen for the recombinant MGB1 antibody.Clonality:
MonoclonalIsotype:
IgGType:
RecombinantApplications:
IHC-PFormat:
PurifiedBuffer:
1 mg/ml in 1X PBS; BSA free, sodium azide freeReconstitution:
Aliquot the recombinant MGB1 antibody and store frozen at -20oC or colder. Avoid repeated freeze-thaw cycles.Limitations:
This recombinant MGB1 antibody is available for research use only.CAS Number:
9000-83-3