Napsin A Recombinant Antibody
CAT:
800-V8740-100UG
Size:
100 µg
Price:
Ask
- Availability: 24/48H Stock Items & 2 to 6 Weeks non Stock Items.
- Dry Ice Shipment: No








Napsin A Recombinant Antibody
Description:
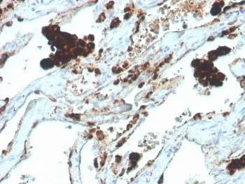
Napsin is a pepsin-like aspartic proteinase connected with maturation of surfactant protein B.There are two closely related napsins, napsin A and napsin B. Napsin A is expressed as a single chain protein. Immunohistochemical studies revealed high expression levels of napsin A in human lung and kidney but low expression in spleen. Napsin A is expressed in type II pneumocytes and in adenocarcinomas of lung. The high specificity expression of napsin A in adenocarcinomas of lung is useful to distinguish primary lung adenocarcinomas from adenocarcinomas of other organs.UniProt:
O96009Host:
RabbitImmunogen:
A portion of amino acids 50-150 from the human protein was used as the immunogen for the recombinant Napsin A antibody.Clonality:
MonoclonalIsotype:
IgGType:
RecombinantApplications:
IHC-P, WBFormat:
PurifiedBuffer:
0.2 mg/ml in 1X PBS with 0.1 mg/ml BSA (US sourced), 0.05% sodium azideReconstitution:
Store the recombinant Napsin A antibody at 2-8oC (with azide) or aliquot and store at -20oC or colder (without azide).Limitations:
This recombinant Napsin A antibody is available for research use only.CAS Number:
9000-83-3