S100P Recombinant Antibody
CAT:
800-V8738-100UG
Size:
100 µg
Price:
Ask
- Availability: 24/48H Stock Items & 2 to 6 Weeks non Stock Items.
- Dry Ice Shipment: No








S100P Recombinant Antibody
Description:
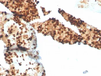
S100P is a 95-amino-acid protein and a member of the S100 family. S100P has been shown to mediate tumor growth, metastasis and invasion through the binding of Ca2+ ions, receptor for advanced glycation end products, cytoskeletal protein ezrin, calcyclin-binding protein/Siah-1-interacting protein and cathepsin D.S100P highly expressed in human placenta, gastrointestinal tract, and esophageal mucosa, but always negative in pancreas and liver. Overexpression of S100P has been detected in several cancers such as breast, colon, prostate, pancreatic and lung carcinomas, and the protein has been functionally implicated in carcinogenic processes. S100P could potentially serve as diagnostic marker, prognostic/predictive indicator and therapy target for different carcinomas.UniProt:
P25815Host:
RabbitImmunogen:
A recombinant fragment corresponding to the C-terminal region of human S100P protein was used as the immunogen for the recombinant S100P antibody.Clonality:
MonoclonalIsotype:
IgGType:
RecombinantApplications:
IHC-PFormat:
PurifiedBuffer:
0.2 mg/ml in 1X PBS with 0.1 mg/ml BSA (US sourced), 0.05% sodium azideReconstitution:
Store the recombinant S100P antibody at 2-8oC (with azide) or aliquot and store at -20oC or colder (without azide).Limitations:
This recombinant S100P antibody is available for research use only.CAS Number:
9000-83-3