EpCAM Recombinant Antibody
CAT:
800-V8649SAF-100UG
Size:
100 µg
Price:
Ask
- Availability: 24/48H Stock Items & 2 to 6 Weeks non Stock Items.
- Dry Ice Shipment: No








EpCAM Recombinant Antibody
Description:
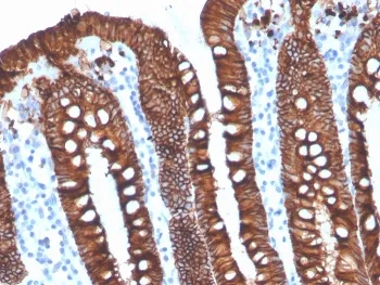
EGP40 is a 40-43kDa transmembrane epithelial glycoprotein, also identified as epithelial specific antigen (ESA), or epithelial cellular adhesion molecule (Ep-CAM). It is expressed on baso-lateral cell surface in most simple epithelia and a vast majority of carcinomas with the exception of adult squamous epithelium, hepatocytes and gastric epithelial cells. This antibody has been used to distinguish adenocarcinoma from pleural mesothelioma and hepatocellular carcinoma. This antibody is also useful in distinguishing serous carcinomas of the ovary from mesothelioma.UniProt:
P16422Host:
RabbitImmunogen:
Recombinant full-length human EpCAM protein was used as the immunogen for the recombinant EpCAM antibody. The binding epitope of this antibody is located in the first EGF-like repeat domain (EGF1) between amino acids 27-59.Clonality:
MonoclonalIsotype:
IgGType:
RecombinantApplications:
IHC-PFormat:
PurifiedBuffer:
1 mg/ml in 1X PBS; BSA free, sodium azide freeReconstitution:
Store the recombinant EpCAM antibody at 2-8oC (with azide) or aliquot and store at -20oC or colder (without azide).Limitations:
This recombinant EpCAM antibody is available for research use only.CAS Number:
9000-83-3