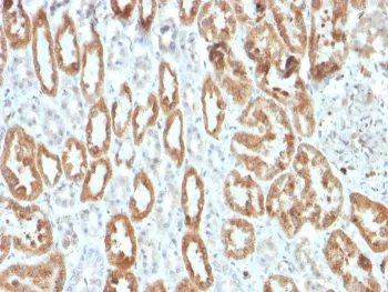
COX2 Recombinant Antibody / PTGS2
CAT:
800-V8362-20UG
Size:
20 µg
Price:
Ask
- Availability: 24/48H Stock Items & 2 to 6 Weeks non Stock Items.
- Dry Ice Shipment: No








COX2 Recombinant Antibody / PTGS2
Description:
Prostaglandins are a diverse group of autocrine and paracrine hormones that mediate many cellular and physiologic processes. Prostaglandin H2 (PGH2) is an intermediate molecule in formation of the prostaglandins. Cyclooxygenase-1 (Cox-1) and cyclooxygenase-2 (Cox-2) are prostaglandin synthases that catalyze the formation of PGH2 from arachidonic acid (AA). Cox-1 and Cox-2 are isozymes of prostaglandin-endoperoxidase synthase (PTGS). Cox-1 is constitutively expressed in most tissues and is thought to serve in general housekeeping functions. Cox-2 is efficiently induced in migratory cells responding to pro-inflammatory stimuli and is considered to be an important mediator of inflammation. Both enzymes are targets for the nonsteroidal therapeutic anti-inflammatory drugs, NSAIDs. COX2 expression is significantly increased in 85-90% of human colorectal adenocarcinomas whereas levels of COX-1 are not changed.UniProt:
P35354Host:
RabbitImmunogen:
A portion of amino acids 504-604 from the human protein was used as the immunogen for the recombinant COX-2 antibody.Clonality:
MonoclonalIsotype:
IgGType:
RecombinantApplications:
IHC-PFormat:
PurifiedBuffer:
0.2 mg/ml in 1X PBS with 0.1 mg/ml BSA (US sourced), 0.05% sodium azideReconstitution:
Store the recombinant COX-2 antibody at 2-8oC (with azide) or aliquot and store at -20oC or colder (without azide).Limitations:
This recombinant COX-2 antibody is available for research use only.CAS Number:
9000-83-3