CSF3 Recombinant Antibody / Granulocyte-Colony Stimulating Factor
CAT:
800-V7695-20UG
Size:
20 µg
Price:
Ask
- Availability: 24/48H Stock Items & 2 to 6 Weeks non Stock Items.
- Dry Ice Shipment: No








CSF3 Recombinant Antibody / Granulocyte-Colony Stimulating Factor
Description:
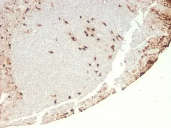
This MAb recognizes granulocyte-colony stimulating factor (G-CSF) in the cytoplasm of mature granulocytes. It shows no reactivity with any other cell types. Markers of myeloid cells are useful in the identification of different levels of cellular differentiation. It reacts with early precursor and mature forms of myeloid cells. It is useful for the detection of myeloid leukemias and granulocytic sarcomas. It can be used as a marker of granulocytes in normal tissues or inflammatory processes. G-CSF is a pleiotropic cytokine that influences differentiation, proliferation and activation of the neutrophilic granulocyte lineage. The human G-CSF cDNA encodes a 207 amino acid precursor containing a 29 amino acid signal peptide that is proteolytically cleaved to form a 178 amino acid residue mature protein. Two G-CSF s, which are identical except for a three amino acid deletion in the amino-terminus of one form of the protein have been isolated from human cells.UniProt:
P09919Host:
MouseImmunogen:
A recombinant full-length human CSF3 protein was used as the immunogen for the recombinant Granulocyte-Colony Stimulating Factor antibody.Clonality:
MonoclonalIsotype:
IgG1 κType:
RecombinantApplications:
IHC-PFormat:
PurifiedBuffer:
0.2 mg/ml with 0.1 mg/ml BSA (US sourced), 0.05% sodium azideReconstitution:
Store the recombinant Granulocyte-Colony Stimulating Factor antibody at 2-8oC (with azide) or aliquot and store at -20oC or colder (without azide).Limitations:
This recombinant Granulocyte-Colony Stimulating Factor antibody is available for research use only.CAS Number:
9000-83-3
